
为了响应《“健康中国2030”规划纲要》,实现我国全民消化肿瘤早诊早治,《肿瘤界》设立“齐力荟聚-消化肿瘤频道”,聚焦消化肿瘤患者的诊断治疗。旨在报道国内前瞻性、创新性和高学术水平的关于消化道肿瘤防治的临床应用和基础研究,把握学术发展动向,促进学术交流,整体提高国内消化肿瘤防治的临床与研究水平,结合国内研究特色,以及国内临床规范制度,推动消化肿瘤防治的进步,普及推广临床规范化诊疗。
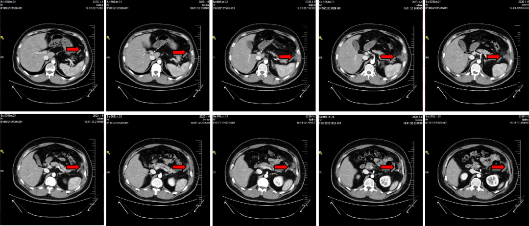
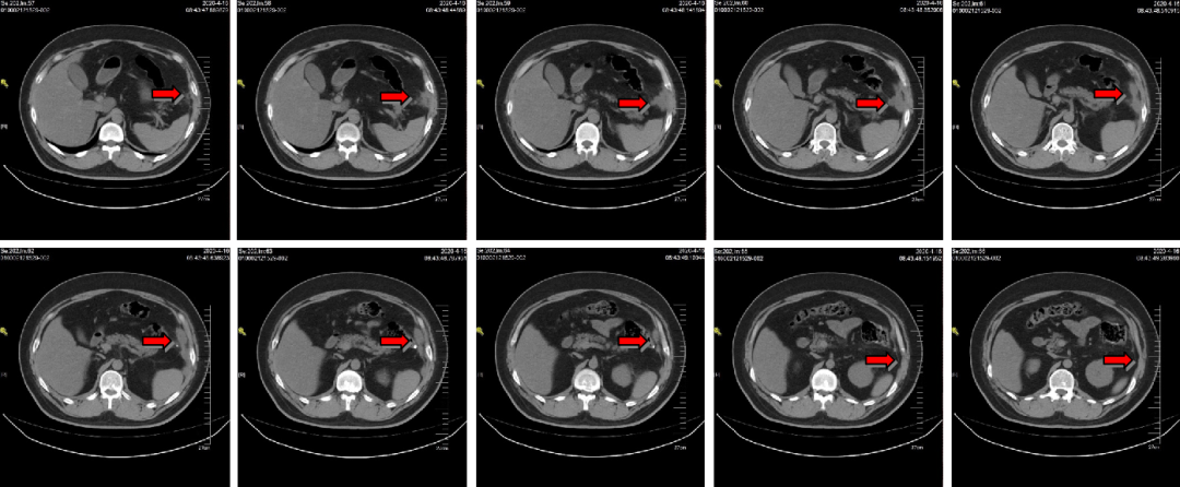
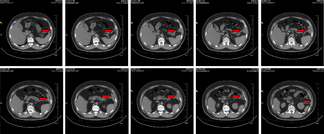
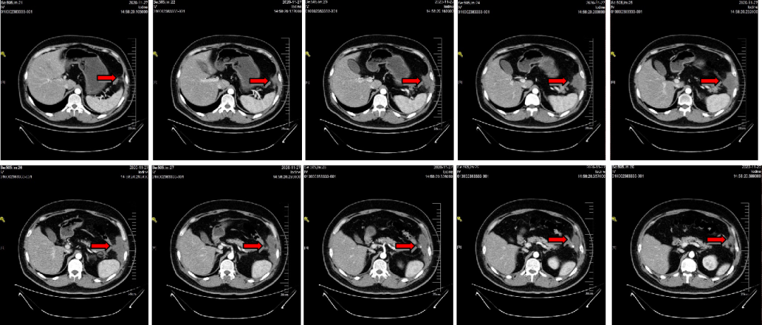
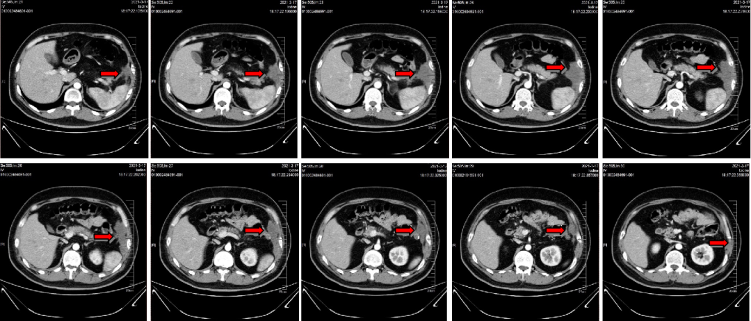
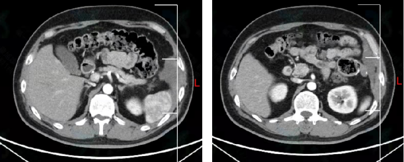
一 专家访谈 专家简介 Q1 结直肠癌本世纪在中国的发病率呈快速上升趋势,由于诊治水平提高,死亡率上升趋势得到一定缓解。请您介绍一下目前我国在结直肠癌全程管理方面取得了哪些成果?未来还有哪些方向可以去努力? 晚期结直肠癌的治疗从最初的单药化疗逐渐发展为两药、三药联合化疗,使患者生存获益达到18个月。此后,抗血管生成药物贝伐珠单抗,抗EGFR单抗西妥昔单抗,以及多靶点酪氨酸激酶抑制剂(TKI)药物,如瑞戈非尼,先后应用于临床,使结直肠癌治疗进入靶向时代。化疗联合靶向治疗使患者总生存期(OS)超过24个月。 随着治疗手段的不断丰富,晚期结直肠癌的全程管理成为必然趋势,也对医生提出了更高要求。而优化全程管理的目的就是创造一切条件,让更多患者能够接受更多药物治疗,从而达到最佳生存获益。既往肠癌的治疗以化疗为主,患者不良反应较重、耐受性差,生活质量大幅下降。随着瑞戈非尼、呋喹替尼等三线药物上市,靶向/化疗间歇,即“Chemo-break”方案已得到日渐广泛的应用。一项回顾性研究显示,三线使用瑞戈非尼后线序贯曲氟尿苷替匹嘧啶片(TAS-102)方案使患者中位OS达17.7个月,大大高于曲氟尿苷替匹嘧啶片(TAS-102)后线序贯瑞戈非尼组的8.1个月;REVERCE研究表明,对既往使用氟尿嘧啶、奥沙利铂及伊立替康治疗的患者,优先使用瑞戈非尼后线序贯西妥昔单抗,能够使患者中位OS达17.4个月,高于西妥昔单抗后线序贯瑞戈非尼组的11.6个月;而在对瑞戈非尼和呋喹替尼治疗序贯顺序的真实世界研究中,结果显示先使用瑞戈非尼序贯呋喹替尼的中位OS为28.1个月,而呋喹替尼序贯瑞戈非尼组仅为18.4个月,具有显著差异。这些研究都证明药物选择和治疗手段的顺序能够对患者生存造成真实影响。因此,在未来我们要进一步探索晚期结直肠癌治疗的排兵布阵,在不同阶段选择适合患者的治疗方案,从而提高患者OS和生存质量。 Q2 对于初始不可切的结直肠癌肝转移患者而言转化治疗尤为重要,患者在经全身系统治疗之后使用局部治疗手段或者联合外科治疗手段进行转化是当下新主流,对此请您结合临床实践谈谈经过全身系统治疗后疗效评价对于后续局部治疗手段选择的影响? 依托MDT诊疗模式,在治疗前、治疗中和治疗后全程对患者进行完整及时的评估,并根据评估情况进行个体化治疗方案的制定,这对于改善患者预后至关重要。随着影像学、分子病理学等学科的发展,传统的评分系统也需要更新迭代。因此,期待与时俱进的评分系统带来更加精准的评估效果,从而更好地选择更有效的治疗方案。 当前肠癌的治疗手段丰富,每一步的治疗决策都依赖于对患者整体情况的评估。相较于传统的CRS评分,TBS评分在其基础之上又纳入了患者RAS状态以及肿瘤术前化疗的反应性,在临床中取得了一定的成效。结合临床经验,进行TBS评分和CRS评分的双重评估,可对患者的下一步治疗进行更加准确的判断。 Q3 目前靶免联合治疗在结直肠癌肝转移领域进行了诸多探索,也取得了一些成绩。请您谈谈靶免联合治疗在结直肠癌肝转移群体中的应用情况如何,未来又有哪些探索的方向? 靶免联合治疗结直肠癌肝转移患者已经取得了一些有效性数据,但是一定要在治疗前筛选靶免治疗的优势人群,比如MSI-H或PD-L1高表达的患者,同时我们也需要持续寻找更加敏感的Bio-marker。另外,探索其他免疫增敏的方法,比如射频消融是否能为免疫治疗增加新的免疫抗原。最后,由于是联合用药,如何在保证疗效的基础之上,尽量降低药物相关的副作用也是我们需要探索的方向。 在免疫增敏方面,我们也在进行相关的研究,探索局部超声消融治疗是否可以提升免疫治疗效果,也期待有好的结果出现。除此之外,未来结直肠癌肝转移靶免联合治疗的探索方向还有很多,比如优势人群筛选、适宜的用药时机、安全的用药剂量等,希望尽早完成头对头Ⅲ期研究,进一步确证靶免联合的优势。 Q4 2022年,CACA-RC指南推荐曲氟尿苷替匹嘧啶片(TAS-102)联合贝伐珠单抗作为晚期不可切除直肠癌一线治疗方案。请您谈谈曲氟尿苷替匹嘧啶(TAS-102)凭借哪些突破性研究进展,奠定了此方案的指南推荐地位? 曲氟尿苷替匹嘧啶片(TAS-102)在中国的获批是基于国际多中心RECOURSE研究和亚太TERRA研究的结果。RECOURSE研究中,曲氟尿苷替匹嘧啶片(TAS-102)较安慰剂显著延长中位OS时间(7.1个月对比5.3个月)和中位PFS时间(2.0个月对比1.7个月),死亡风险和疾病进展风险分别降低32%和52%。 TERRA研究中,曲氟尿苷替匹嘧啶片(TAS-102)组的中位OS时间(7.8个月对比7.1个月)和PFS时间(2.0个月对比1.8个月)亦得到显著改善,死亡风险和疾病进展风险分别降低21%和57%。而且,这两项研究中,曲氟尿苷替匹嘧啶片(TAS-102)的不良反应均以血液学毒性为主,有症状的不良反应发生率低。鉴于其良好的安全性和耐受性,曲氟尿苷替匹嘧啶片(TAS-102)与其他药物联合用于肠癌也在研究中进行了探索并取得了不错的结果。 C-TASK-FORCE研究和DANISH研究均显示,对于PS为0~1分的mCRC患者,曲氟尿苷替匹嘧啶片(TAS-102)+贝伐珠单抗三线治疗实现了超过4.5个月的mPFS时间,超越了既往单药三线治疗的总体水平,且未显著增加AEs。曲氟尿苷替匹嘧啶片(TAS-102)+贝伐珠单抗4周方案治疗mCRC显示了良好的抗肿瘤活性。BiTS研究确证了双周方案可在不影响疗效的前提下,明显降低中性粒细胞减少症发生率。KSCC1602研究也成功探索了FTD/TPI+贝伐珠单抗用于mCRC一线治疗的疗效和安全性。 2022年CACA-RC指南基于TASCO1研究结果,对于不能耐受卡培他滨或氟尿嘧啶的患者或不能耐受强度治疗的晚期肠癌患者可以考虑选择曲氟尿苷替匹嘧啶片(TAS-102)+贝伐珠单抗方案。2021年在ASCO-GI大会中报告了TASCO1研究进展,TASCO1是一项针对既往未接受过治疗、无法耐受以奥沙利铂或伊立替康为基础的标准化疗方案,且无法切除的转移性结直肠癌(mCRC)患者的II期研究。研究结果显示:曲氟尿苷替匹嘧啶片(TAS-102)组患者mPFS时间延长1.41个月(9.23个月对比7.82个月),mOS时间延长4.64个月(22.31个月对比17.67个月)。安全性分析也提示曲氟尿苷替匹嘧啶片(TAS-102)+贝伐珠单抗治疗具有良好的耐受性,最常发生的3/4级不良事件是中性粒细胞减少症,严重的发热性中性粒细胞减少症发生率约为4%。 晚期mCRC的标准化疗方案在指南中是以奥沙利铂或伊立替康为基础的FOLFOX和FOLFIRI方案,在此基础上,可以根据基因分型联合西妥昔单抗或者贝伐珠单抗,但是依旧有部分患者身体状况无法耐受加强化疗,针对这一类患者的治疗方案选择非常有限,且预后情况并不理想。曲氟尿苷替匹嘧啶片(TAS-102)+贝伐珠单抗治疗方案毒副反应相对较低,疗效确切,在未来较长一段时间内,可作为国内不适合强烈治疗的mCRC患者及老年患者的一线治疗优选方案,并为患者带来持续的、更优的生存获益。 二 病例分享 01 基本情况 患者男性,38岁,ECOG 0分。 2019-3 因“腹泻伴左侧腹痛”,于外院行结肠镜提示:乙状结肠腺瘤性息肉,降结肠粘膜组织慢性炎症伴局限性高级别上皮内瘤变。 2019-4-23 全麻下行腹腔镜根治性左半结肠切除术。 术后病理:降结肠隆起中分化腺癌侵及肠壁全层,肠周淋巴结(9/20个)有癌转移,标本上、下切缘及环周切缘、另送“肠管”未见癌组织。 术后分期:pT3N2bM0,IIIC期。 02 初诊病史 2019-5至2019-10 辅助化疗(XELOX*8cycles)。 不良反应:骨髓抑制2度,胃肠道反应1度。 之后定期复查。 2020-1-7 腹部CT。 2020-1-10 PET/CT:1.降结肠术后化疗后,术区邻近多发软组织密度结节影,左侧下腹壁软组织增厚,葡萄糖代谢增高,多考虑转移灶;2.胸上段半棘肌葡萄糖代谢增高,系生理性摄取。 CEA 6.89 ng/ml,CA-199 191.7 U/L。 基因检测:KRAS、NRAS、BRAF 均为野生型。 03 治疗经过 治疗决策1 2020-1-14 西妥昔单抗联合FOLFIRI方案1周期(西妥昔单抗 1000mg civ d1;伊立替康 240mg iv.drip d1;亚叶酸钙 800mg iv.drip d1;氟尿嘧啶 750mg iv d1,4000mg civ 46h,q2w)。 后因疫情在当地卡培他滨单药口服至2020-4。 不良反应:早期皮疹2度,骨髓抑制1度,胃肠道反应1度。 2020-4-16 腹部CT(PD)。 CEA 5.500 ng/ml,CA-199 180.000 U/L。 治疗决策2 2020-4-17、2020-5-20、2020-6-5 西妥昔单抗联合FOLFIRINOX方案3周期(西妥昔单抗 1000mg civ d1;奥沙利铂 170mg iv.drip d1;伊立替康 300mg iv.drip d1;亚叶酸钙 800mg iv.drip d1;氟尿嘧啶 4750mg civ 46h,q2w)。 2020-6-29 腹部CT(SD)。 CEA 7.26 ng/ml,CA-199 150.3 U/L。 维持治疗 2020-7-2、2020-8-14 西妥昔单抗联合卡培他滨方案2周期(西妥昔单抗 1000mg civ d1;卡培他滨 1.5g po bid d1-14,q3w)。 不良反应:早期皮疹2度,骨髓抑制0度,胃肠道反应1度。 2020-11-27 腹部CT(PD)。 CEA 8.4 ng/ml,CA-199 357.1 U/L。 治疗决策3 2020-12-1至2021-3-8 帕博利珠单抗联合瑞戈非尼方案化疗5周期(帕博利珠单抗200mg civ d1,q3w;瑞戈非尼80mg po qd d1-21,q4w)。 不良反应:皮疹3度,骨髓抑制0度,胃肠道反应0度。 2021-1-12 腹部CT(2周期后:SD)。 CEA 13.7 ng/ml,CA-199 812.3 U/L。 2021-3-17 腹部CT(SD)。 CEA 17.7 ng/ml,CA-199 815.7 U/L。 2021-5-25 腹部CT(PD)。 CEA 14.2 ng/ml,CA-199 703.9 U/L。 治疗决策4 2021-5-27至今 贝伐珠单抗联合TAS-102方案化疗,PFS 11m+(贝伐珠单抗500mg civ d1,q2w;TAS102 50mg po bid d1-5,d8-12,q4w)。 不良反应:皮疹0度,骨髓抑制0度,胃肠道反应0度。 影像评估(SD)。 CEA 12 ng/ml, CA-199 569.2 U/L。 2021-10-20 影像评估(SD)。 2022-02-22 影像评估(SD)。 04 病例小结 *本文仅代表专家观点,并经专家审校。











