
为了响应《“健康中国2030”规划纲要》,实现我国全民消化肿瘤早诊早治,《肿瘤界》设立“齐力荟聚-消化肿瘤频道”,聚焦消化肿瘤患者的诊断治疗。旨在报道国内前瞻性、创新性和高学术水平的关于消化道肿瘤防治的临床应用和基础研究,把握学术发展动向,促进学术交流,整体提高国内消化肿瘤防治的临床与研究水平,结合国内研究特色,以及国内临床规范制度,推动消化肿瘤防治的进步,普及推广临床规范化诊疗。
一 专家访谈 专家简介 Q1 目前结直肠癌在我国的发病率和死亡率都居前列,疾病诊疗负担巨大。新型化疗药物的研发、免疫治疗方案的优化、靶向联合思路的探索,一直是肿瘤内科医生长期以来关注的话题,请您谈谈未来五年结直肠癌领域的药物治疗有哪些值得期待的突破方向? 目前,结直肠癌领域面临的药物治疗瓶颈:新型化疗药物的研发、免疫治疗方案的优化、靶向联合思路的探索。 首先,近年来传统化疗的进展并不多,因此加速新型化疗药物的研发可能是进一步突破当前结直肠癌生存获益限制的一个突破点。 其次,免疫治疗面临着诸多瓶颈,治疗方案优化成为探索热点。我们知道,免疫治疗在结直肠癌中的优势人群为 dMMR/MSI-H 的患者,其中转移性结直肠癌仅占5%,另外95%的转移性结直肠癌患者较难从免疫单药中获益。因此,摆在免疫治疗面前的困境主要围绕通过 biomarker 识别更多免疫优势群体,以及探索免疫和其他系统治疗药物或局部治疗手段在非免疫优势人群中的应用。 最后,在结直肠癌靶向治疗领域,我们在抗 EGRF 通路与抗血管生成通路方面的治疗经验非常丰富,但是对于新型或少见靶点方面仍有大量工作要做。比如 BRAF V600E 突变的发生率在结直肠癌中达到8%左右,缺少有效的治疗方案,整体生存期仅为结直肠癌群体的1/3。另外,对于HER-2突变/扩增的结直肠癌患者,我们也亟需探索新型的药物治疗模式。 未来,希望能够借助基础与临床的转化研究,进一步完善结直肠癌的biomarker 与分子分型,研发更具针对性的靶向药物,最终突破当前结直肠癌群体的生存获益瓶颈。 Q2 肝转移是结直肠癌治疗中较为棘手的一个群体,往往需要局部联合系统治疗等多种手段。在治疗药物选择上,不同阶段的患者也需要针对性的方案。那么对于进入三线治疗的患者,您的综合治疗经验有哪些可以和我们分享的? 首先,明确发生率及治疗难度。肝脏是结直肠癌患者最容易出现转移的器官,经过规范的治疗,5年生存率仅为30%~40%。整体预后不容乐观。 其次,明确治疗目标。随着化疗方案的优化,相当一部分患者在经过一线、二线治疗后,体能状况仍较稳定,因此,即使到了三线治疗阶段,医患双方对于治疗仍然报以“延长生存”和“维持生活质量”的双重目标。 最后,探索治疗方案。目前,瑞戈非尼、TAS-102、呋喹替尼是国内结直肠癌三线治疗的推荐药物,在临床也有较为丰富的应用经验。但是这三个药物单独应用的有效率和无进展生存期(PFS)均已不能满足患者的需求,在当前的基础上,临床在呼唤不良反应更可控、生存获益更高的治疗方案。在此背景下,联合治疗被公认为是一种解决当前困境的有效方法。因此,基于多学科治疗(MDT)的模式应运而生,并贯穿结直肠癌患者的全程管理中。 Q3 MDT团队在结直肠癌诊疗中发挥重要作用,国内外数据都表明其对患者的PFS和OS都产生了有益影响。请您谈一下MDT团队对结直肠癌患者的整体治疗还有哪些帮助? 患者的PFS和OS只是多学科团队协作中产生结果之一。而MDT总体而言还有以下几点优势。 首先,多学科协作能为患者提供最佳的治疗策略。相比于专科门诊,进行多学科讨论,医生团队可能为患者提供更优的治疗方案。基于正确有效的指导治疗,患者更有机会得到生存获益。 其次,遇到疑难病例时,如患者术后仍然复发,可以进行多学科讨论。经过各科医生集思广益,医生可以为患者提供一些临床结果相对较少但处于探索中且有可能获益的新方法、新策略、新思维。当扩大了样本数量后,便有机会证明新方法是否能使这类患者获益,甚至可以推广到更多患者,使其获益。 再者,患者能够提前接受新药治疗。由于外科医生较少了解新药临床试验,未能充分告知患者更多有关于他们疾病的新药临床信息。但患者配以多学科讨论后,会有更多的医生告知并建议病人参与新药临床试验,患者更有机会从新药临床试验中获益。比如一款新药在5年后获批,但进入该药临床试验的患者就能提前5年享用到该药的效果、接受有效的治疗。那么对于当时入组试验的患者而言,他们在那时就获得了最新、最好的治疗。 除此之外,多学科协作还能帮助其他MDT团队发展。有些新成立、经验较匮乏、临床病例较少的医生团队可以通过与其他MDT团队交流获取经验。目前线上和线下均开展了许多多学科诊疗讨论以促进MDT团队间交流,对许多MDT团队的建立、MDT模式的开展和讨论都有很大的帮助。 最后,多学科诊疗模式能促进年轻医生形成综合治疗理念、拓宽医学视野和疾病治疗视野,有利于我国整体治疗水平的提高。 Q4 近年来,TAS-102联合贝伐珠单抗治疗mCRC患者在PFS、安全性、耐受性方面得到了更优的研究结果。请您结合相关研究谈谈该方案在2022年发布的CACA-RC指南中有着怎样的推荐地位? 2015年,TAS-102 获美国FDA批准,用于难治的 mCRC 多线治疗。获批的主要依据是国际多中心大型临床Ⅲ期随机试验 RECOURSE 研究。此外,2018年国际多中心Ⅲ期临床试验TERRA研究也同样验证了TAS-102的疗效。两项研究结果非常一致,TAS-102 治疗的 DCR 为44%,mOS 在7~8个月。RECOURSE和TERRA 研究的亚组分析显示,KRAS 野生型患者经 TAS-102 治疗生存获益显著,死亡风险较对照安慰剂降低23%~42%。 C-TASK-FORCE 研究和 DANISH 研究均显示,对于PS为0~1分的 mCRC 患者,TAS-102+贝伐珠单抗三线治疗实现了超过4.5个月的 mPFS 时间,超越了既往单药三线治疗的总体水平,且未显著增加AEs。TAS-102+贝伐珠单抗4周方案治疗 mCRC 显示了良好抗肿瘤活性。BiTS 研究确证了双周方案可在不影响疗效的前提下,明显降低中性粒细胞减少症发生。KSCC 1602 研究也成功探索了 FTD/TPI +贝伐珠单抗用于 mCRC 一线治疗的疗效和安全性。 2021年 ASCO-GI 大会报告了一项 TASCO1 研究进展,2016年4月至2017年3月,随机对153例患者进行随访,直到2020年9月1日研究结束。有21例患者(TT-B组,n=11;C-B组,n=10)仍存活并接受了检查分析。纳入的是经研究者判断不能耐受强烈治疗的患者和老年患者,既往未接受过化疗,肿瘤负荷较低,证实 TAS-102+贝伐珠单抗较卡培他滨+贝伐珠单抗显著延长 mPFS(9.23个月对比7.82个月)和OS(22.31个月对比17.67个月)。 TAS-102+贝伐珠单抗治疗方案毒副反应相对较低,疗效确切,被 CACA-RC指南推荐为姑息一线治疗方案,为国内不适合高强度治疗的 mCRC 患者和老年患者带来持续的、更优的生活获益。
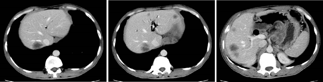
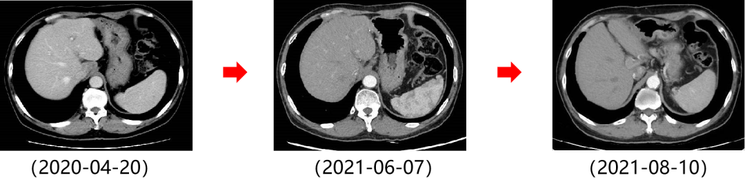
二 病例分享 专家简介 01 基本情况 患者:汪XX,男,63岁。身高 165cm;体重 65kg;体表面积 1.70m2;ECOG 1分。 主诉:反复解黏液血便3天。 对磁共振造影剂过敏,无食物、其他药物过敏史。既往史、个人史、婚育史、家族史均无特殊,无吸烟、饮酒史。 02 初诊病史 现病史:患者2017年3月初无明显诱因下解黏液血便,量中等,为鲜血,反复发作,无恶心、呕血、黑便、腹痛、腹泻、里急后重等不适。遂于2017年3月初就诊我院。 胸、腹、盆腔CT平扫+增强:乙状结肠肠壁明显增厚,肠腔狭窄,增强期强化明显;肝脏多发低密度病灶,增强期不规则强化,考虑乙状结肠癌伴肝脏多发转移。 03 治疗方案 【一线治疗】 2017-06-22 西妥昔单抗+FOLFIRI* Q2W×3 西妥昔单抗 900mg ivgtt D1; 5-氟尿嘧啶 0.6g iv D1,3.5g civ 48h; 亚叶酸钙 0.6g ivgtt D1; 伊立替康 280mg ivgtt D1。 第1疗程结束后黏液血便较前消失,过程顺利,耐受良好,无皮疹、腹泻等不良反应,治疗10疗程,疾病进展。 疗效评估-影像学(部分缓解,PR)。 2017-07-15 乙状结肠癌切除术* 手术记录:肿瘤位于乙状结肠,大小约4cm×3cm,未突破浆膜层,病灶周围可及数个稍肿大淋巴结,未及盆底种植结节。 手术过程顺利,术后恢复良好。 术后病理:(乙状结肠)中分化腺癌,浸润肠壁浆膜下层,两切缘阴性,未见脉管癌栓及神经束侵犯,LN 2/18(+) 2017-08-20 肝转移瘤切除术* 手术记录:肝脏肿瘤位于肝右叶,大小分别约2cm×1.5cm,1cm×1.2cm,其余肝表面未见异常结节,腹腔无腹水、无粘连。 手术过程顺利,术后恢复良好。 术后病理:(肝右叶病灶)中分化腺癌,结合临床病史,符合乙状结肠癌肝转移,肝组织切缘未见癌。 疗效评估-影像学(NED)。 2017-11-06 西妥昔单抗+FOLFIRI* Q2W×3 西妥昔单抗 900mg ivgtt D1; 5-氟尿嘧啶 0.6g iv D1,3.5g civ 48h; 亚叶酸钙 0.6g ivgtt D1; 伊立替康 280mg ivgtt D1; 过程顺利,无皮疹、腹泻等不良反应。每疗程后均予PEG-CSF预防性升白,耐受良好。 疗效评估-影像学(病情进展,PD1)。 胸、腹、盆腔CT平扫+增强:肝左外叶低密度灶,增强期不规则强化,结合病史,考虑结肠癌肝转移,余未见明显异常。 【二线治疗】 2018-03-06 肝左外叶肿瘤切除术* 术中探查见:肿瘤位于肝左外叶,质硬,边界不清,余肝脏表面未见异常结节灶,腹盆腔无腹水。 手术过程顺利,术后恢复良好。 术后病理示:(肝左叶)中分化腺癌,结合临床病史,符合结肠腺癌肝转移。 2018-04至2018-07 卡培他滨+奥沙利铂* Q3W×5 卡培他滨 1.5g BID D1-14; 奥沙利铂 200mg ivgtt D1。 过程顺利、耐受良好,无腹泻、神经毒性等不良反应。 疗效评估-影像学(病情进展,PD2)。 胸、腹、盆腔CT平扫+增强:肝尾状叶结节状异常密度灶,增强期不规则强化,结合病史,考虑结肠癌肝转移,余未见明显异常。 2018-07至2020-04 贝伐珠单抗+卡培他滨* Q3W×21 贝伐珠单抗 500mg ivgtt D1; 卡培他滨 1.5g BID D1-14。 过程顺利、耐受良好,期间曾出现II度腹泻,对症治疗后可恢复正常。无血压升高、出血、蛋白尿、手足皮肤反应。 疗效评估-影像学(最佳疗效,PR)。 疗效评估-影像学(病情进展,PD3)。 腹腔镜肝尾状叶切除术+腹腔粘连松解术* 术中探查见:肿瘤位于肝尾状叶,质硬,边界不清,余肝脏表面未见异常结节灶,腹盆腔无腹水。 手术过程顺利,术后恢复良好。 术后病理示:(肝尾状叶)中分化腺癌,结合临床病史,符合结肠腺癌肝转移。 2020-06至2021-09 贝伐珠单抗+卡培他滨* Q3W×16 贝伐珠单抗 500mg ivgtt D1; 卡培他滨 1.5g BID D1-14。 过程顺利、耐受良好,期间曾出现II度腹泻,对症治疗后可恢复正常。无血压升高、出血、蛋白尿、手足皮肤反应。 疗效评估-影像学(NED)。 疗效评估-影像学(NED)。 【三线治疗】 2021-12-16 西妥昔单抗+TAS-102* Q3-4W×2 西妥昔单抗 900mg ivgtt D1; TAS-102 60mg BID D1-5,8-12。 过程顺利、耐受稍差,期间出现II度骨髓抑制(三系减少),对症治疗后可恢复正常。无皮疹、输液反应等。 疗效评估-影像学(部分缓解,PR)。 04 治疗小结












*本文仅代表专家观点,并经专家审校。