小细胞肺癌难治性肺癌的“攻坚堡垒”
肺癌是全球发病率和死亡率较高的恶性肿瘤之一,小细胞肺癌是一种具有高度侵袭性的神经内分泌肿瘤,占所有肺癌类型的13%~15%,具有生长快、侵袭性高、转移早、预后差等特点,约80%~85%的患者首次确诊时处于广泛期阶段。

小细胞肺癌目前临床仍以放化疗为主,广泛期患者虽可联合免疫治疗,但整体预后欠佳。对于局限期小细胞肺癌目前指南推荐的仍然是全身化疗联合放射治疗,后续可免疫治疗维持,仅有不到5%的非常早期的局限期小细胞肺癌患者拥有手术切除机会。
创新疗法改写小细胞肺癌治疗格局
东部战区总医院呼吸与危重症医学科牵头开展的“依沃西单抗联合依托泊苷和卡铂用于局限期小细胞肺癌患者新辅助或转化治疗的多中心、开放、随机、对照研究”的临床研究,旨在探索局限期小细胞肺癌更优的诊疗策略,以改善此类患者的预后。
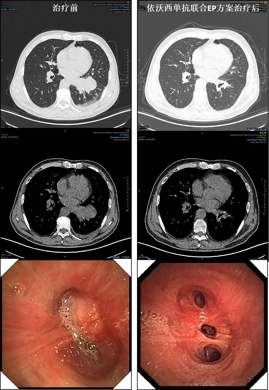
患者朱某(化名)因咳嗽就诊,经检查发现左下肺占位性病变,辗转至东部战区总医院秦淮院区呼吸与危重症医学科3病区住院,经过一系列全身检查及气管镜活检,确诊局限期小细胞肺癌!患者得知科室此项新型抗肿瘤药物的新型治疗模式下的临床研究,知情后入组了该项临床研究。经3周期依沃西单抗+依托泊苷+卡铂治疗,复查胸部CT显示病灶近乎消失,且气管镜下肿瘤显著退缩(见下图胸部CT及气管镜下表现)。

经多学科团队讨论后,心胸外科强勇主任医师团队成功为朱某进行了腔镜微创手术切除病灶。更让人欣喜的是,术后病理检查显示,肿瘤完全消失了(见下图的病理结果),这就是医学上说的pCR(病理完全缓解)。根据研究方案后续继续完成依沃西单抗联合依托泊苷和卡铂1疗程,后续运用依沃西单抗维持治疗。

研究亮点:探索“免疫+化疗”新辅助治疗模式,突破传统“局限期SCLC难以手术”的认知。
突破意义从“不可手术”到“治愈可能”
颠覆传统认知:打破“小细胞肺癌无法手术”的固有认知,证实新辅助治疗可使部分患者获得手术机会。
治疗模式升级:“新辅助治疗+手术”组合拳展现潜力,为局限期SCLC提供“根治性治疗”新路径。
患者希望提升:首例pCR案例为后续更多小细胞肺癌患者带来治愈曙光。
团队深耕肺癌综合诊疗的实力印证
此次突破是呼吸与危重症医学科长期聚焦肺癌精准诊治的一个缩影。未来,科室将继续推进多学科协作,探索更多创新疗法,致力改写肺癌治疗格局,为肺癌患者开辟生命新通道。
来源:东部战区总医院订阅号