
为了响应《“健康中国2030”规划纲要》,实现我国全民消化肿瘤早诊早治,《肿瘤界》设立“齐力荟聚-消化肿瘤频道”,聚焦消化肿瘤患者的诊断治疗。旨在报道国内前瞻性、创新性和高学术水平的关于消化道肿瘤防治的临床应用和基础研究,把握学术发展动向,促进学术交流,整体提高国内消化肿瘤防治的临床与研究水平,结合国内研究特色,以及国内临床规范制度,推动消化肿瘤防治的进步,普及推广临床规范化诊疗。
- 01 -
专家访谈
专家简介

01 肝转移是影响结直肠癌预后的非常重要的因素。请您介绍一下我国结直肠癌肝转移的发生率如何?结直肠癌肝转移患者的治疗有哪些要点?
结直肠癌最主要的转移部位是肝脏,初诊结直肠癌的患者约有15%~25%存在肝转移,在全部病程中出现肝转移的比例高达50%,其中约80%~90%的结直肠癌肝转移灶为初始不可切除,只有约15%的结直肠癌肝转移灶为初始可切除。对于初始不可切除的结直肠癌肝转移患者,5年生存率不足10%。据中山大学肿瘤防治中心的统计数据,经过外科、内科等多个学科综合治疗的结直肠癌肝转移患者,5年生存率为40%左右,与MD安德森癌症中心等国际一流医学中心的数据相近。因此,实现结直肠癌肝转移的无瘤状态值得我们继续努力的方向。
多学科团队(MDT)诊疗模式是结直肠癌肝转移最有效的治疗策略,通过肿瘤外科、肿瘤内科、放疗科、病理科、影像学科等综合评估患者的体力状况、器官功能和合并症等情况,给予最合适的综合治疗方案。临床上通常将结直肠癌肝转移分为三种情况,包括初始可切除、潜在可切除、初始不可切除的三类患者。对于初始可切除患者,在综合评判后积极进行手术治疗,以期达到NED状态;潜在可切除的患者,首先需要进行转化治疗,即通过化疗或化疗联合靶向治疗达到肿瘤缩小的目的,以期获得手术切除的可能;对于不可手术切除的患者,则要综合应用介入治疗、化疗、靶向治疗、免疫治疗等手段,需要根据患者的基因状况、肿瘤发生部位确定最佳治疗方案,争取最佳的临床获益。
02 近年来,结直肠癌肝转移领域在靶免联合治疗方向取得了一定研究进展。请您谈谈在结直肠癌肝转移群体中靶免联合治疗的应用情况如何,未来又有哪些探索的方向?
靶免联合治疗结直肠癌肝转移患者要在治疗前筛选靶免治疗的优势人群,比如MSI-H、或PD-L1高表达的患者。免疫治疗的兴起,为结直肠癌肝转移的治疗提供了新的希望,靶免联合也已取得一定进展。免疫治疗在MSI-H型结直肠癌中的疗效已经得到认可,而对于MSS型免疫治疗单药获益甚微,联合抗血管生成治疗有望发挥协同效应,提高抗肿瘤疗效。REGONIVO研究显示,瑞戈非尼联合纳武利尤单抗治疗可给MSS型转移性结直肠癌患者带来获益,引燃MSS型转移性结直肠癌免疫治疗的研究热潮。在此之后,国内外学者开展一系列研究,探索靶免联合治疗在结直肠癌肝转移中的应用价值。
但就目前而言,靶免联合的疗效仍有进一步提升的空间。在机制方面,尽管现已发现瑞戈非尼等抗血管生成药物能够改善肿瘤微环境,通过抑制CSF-1R耗竭肿瘤相关巨噬细胞(TAM)、下调免疫抑制因子表达,进而增强抗肿瘤免疫作用。但未来还需进一步探索联合机制,优化联合治疗策略。在治疗方面,未来在靶免联合的基础上,进一步联合射频消融(RFA)、肝动脉化疗栓塞术(TACE)、立体定向放射治疗(SBRT)或放射性粒子植入等局部手段,有望进一步提高结直肠癌肝转移患者的生存获益。由于是联合用药,如何在保证疗效的基础之上,尽量降低药物相关的副作用也是我们需要探索的方向。除此之外,未来结直肠癌肝转移靶免联合治疗的探索方向还有很多,比如优势人群筛选、适宜的用药时机、安全的用药剂量等等。希望尽早完成头对头的III期研究,来进一步确证靶免联合的优势。
我们期望在不停地摸索中,能够发现更多的规律,寻找更好的治疗策略,积累更加充足的循证医学证据,从而为患者争取最佳预后。
03 请您结合研究进展谈谈,标准治疗方案失败后结直肠癌肝转移患者有哪些新的治疗选择?
对于无手术切除可能的患者,经过化疗+靶向治疗,以及动态评估,在适当的时机可以联合局部治疗,提升生存率,改善患者预后。浙江省肿瘤医院的一项单中心观察性研究就发现,对于入组的76例结直肠癌肝转移患者,在标准治疗方案失败后采用瑞戈非尼联合DEB-TACE方案较瑞戈非尼单药可获得更长的PFS(7.6月 VS 4.1月,P<0.001)和OS(15.7月 VS 9.2月,P<0.001),除此之外,在ORR及DCR方面,瑞戈非尼联合方案也具有更显著的优势。与此同时,北京大学肿瘤医院的一项回顾性研究也在瑞戈非尼联合HAIC方面进行了探索。结果显示,该方案在既往标准治疗失败的结直肠癌肝转移群体中可实现22.2个月的OS和10.8个月的PFS,疗效确切。目前,结直肠癌肝转移患者标准治疗方案失败后还没有统一的治疗方案,需要进一步的研究探索。
04 CACA-RC指南推荐曲氟尿苷替匹嘧啶(TAS-102)+贝伐珠单抗作为晚期不可切除结直肠癌一线治疗方案,请您谈谈该项研究成果的依据以及未来对临床治疗具有怎样的意义?
晚期结直肠癌依然是困扰结直肠肿瘤治疗的瓶颈问题。因为晚期结直肠癌的发生通常预示着预后相对较差、患者生存期不长,但依然有治愈的可能,这个时候就关系到我们能否选择正确合理的用药方案。日本C-TASK-FORCE研究和欧洲DANISH研究均显示,对于PS为0~1分的mCRC患者,曲氟尿苷替匹嘧啶(TAS-102)+贝伐珠单抗三线治疗实现了超过4.5个月的中位PFS时间,超越了既往单药三线治疗的总体水平,且未显著增加不良事件(AEs)。曲氟尿苷替匹嘧啶片(TAS-102)+贝伐珠单抗4周方案治疗mCRC显示了良好的抗肿瘤活性。日本BiTS研究确证了双周方案可在不影响疗效的前提下,明显降低中性粒细胞减少症发生率。
鉴于TAS-102联合贝伐珠单抗在结直肠癌后线治疗的良好结果,该方案用于一线治疗是否可行的话题一直备受关注。日本KSCC 1602研究和欧洲TASCO-1研究都成功探索了FTD/TPI+贝伐珠单抗用于mCRC一线治疗的疗效和安全性。
2022年CACA-RC指南基于TASCO-1研究的结果,推荐拒绝静脉化疗或不能耐受强烈治疗、易敏的晚期肠癌患者姑息一线选择曲氟尿苷替匹嘧啶片+贝伐珠单抗方案。TASCO-1研究是一项旨在随机比较曲氟尿苷替匹嘧啶片(TAS-102)+贝伐珠单抗和卡培他滨+贝伐珠单抗在一线治疗不可接受强烈治疗的不可切除转移性结直肠癌的II期研究。研究结果显示:曲氟尿苷替匹嘧啶片(TAS-102)组延长患者mPFS时间1.41个月(9.23个月vs 7.82个月);延长患者mOS时间4.64个月(22.31个月vs 17.67个月);安全性分析也提示曲氟尿苷替匹嘧啶片(TAS-102)+贝伐珠单抗治疗具有良好的耐受性。曲氟尿苷替匹嘧啶片(TAS-102)+贝伐珠单抗方案因其高效、低毒的特点为不适合强烈治疗的mCRC患者及老年患者带来了新的希望,其疗效与生存获益令人期待。
通常情况下,晚期不可切除的结直肠癌患者ECOG评分较高,可以选择较强烈的治疗方案;身体状况较差、老年、合并心肺功能并发症或不耐受强烈治疗方案的患者,则可推荐曲氟尿苷替匹嘧啶片(TAS-102)+贝伐珠单抗作为晚期不可切除直肠癌的姑息一线治疗方案,该治疗方案不良反应相对较少,疗效确切,即使在一些患者出现5-FU耐药、卡培他滨耐药或手足综合征,依然可选。
- 02 -
病例分享
专家简介

01. 基本情况
基本信息:性别 男,年龄 53,身高 185cm。
主诉:排便习惯改变1月。
既往史、个人史:平素体健,患有糖尿病2年,未服用降糖药,调整饮食三餐前,空腹血糖控制在 7mmol 以内,有手术史(2000年在县医院行阑尾切除术,2012年在外院行胆囊切除术)。
家族史:父母均死于糖尿病肾衰竭,无家族类似遗传病史。
02. 初诊病史

2017-04 肠镜:进镜21-30cm在乙状结肠全周见肿物生长表面黏膜糜烂,质脆,有接触性出血。

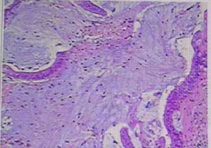
(乙状结肠)黏液腺癌
(横结肠)管状腺瘤
(直肠)炎性息肉

2021-04-05 CT 检查结果:
乙状结肠病变——考虑结肠癌突破浆膜层。肝囊肿,肝内多发血管瘤。
诊断:结肠恶性肿瘤(黏液腺癌,cT4N0M0,Ⅱ期);2型糖尿病。ECOG评分:0分。
体格检查、B超、CT及其他辅助检查。
03. 治疗方案
2017-04-12 在我院胃肠外科行“经腹腔镜乙状结肠癌根治术”。
术后病理(2017-09573):(乙状结肠癌根治标本)结肠溃疡型黏液腺癌、部分区域为绒毛管状腺瘤伴高级别上皮内瘤变;肿瘤侵及浆膜下脂肪组织;肿瘤最大径为7.5cm;未见明确神经及脉管侵犯;肠周淋巴结未见癌转移(1/16)。
免疫组化结果:MLH1(+),MSH2(+),MSH6(+),PMS2(+)。
诊断:结肠恶性肿瘤(黏液腺癌,pT3N1M0,Ⅲb期 MSS);2型糖尿病。
一线治疗
2017-05至2017-10 行6周期XELOX方案化疗。
1度消化道反应,2度骨髓抑制(血小板降低为主)。

2018-01-23 CT检查示肝S8段边缘部(6-192)见一低密度结节,边界清楚,大小约1.3cm×0.8cm。
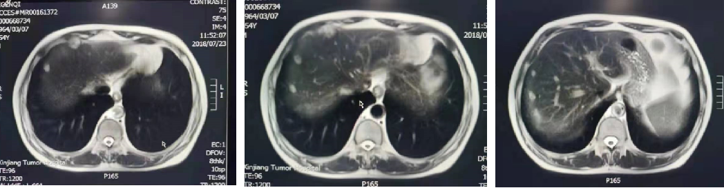
2018-07-24 复查CT

肝边缘部见多发低密度结节,边界清楚,大者约2.1cm×l.9cm,未见强化,体积较前增大,数量较前略增多;肝脏边缘结节,体积较前增大,数量较前略增多,提示腹膜种植转移。
2018-07-24 复查

2018-07-24 肝MRI:
1.肝S4-8段边缘处多发结节,与前片(2018-05-25)比较,部分体积较前略增大,考虑转移瘤较不典型血管瘤可能性大,建议随访;2.肝S5、S6小结节,转移待排,建议随访。
RAS基因检测
KRAS/NRAS/PIK3CA/BRAF基因突变检测结果:
①KRAS 外显子2检测到基因突变。
②NRAS 外显子2、3、4未检测到基因突变。
③PIK3CA 外显子20未检测到基因突变。
④BRAF 外显子15未检测到基因突变。
诊断:1.结肠恶性肿瘤(黏液腺癌,pT3N1M1,Ⅳ期),腹膜继发恶性肿瘤,MSS,BRAF突变;2.2型糖尿病。
二线治疗
2018-07至2018-10 6周期伊立替康+卡培他滨+贝伐珠单抗。
因患者不能耐受2018-11至2019-06 进行卡培他滨+贝伐珠单抗。

肝脏边缘多发结节,部分较前略增大,考虑腹膜转移瘤。
2020-03至2020-05月 5周期伊立替康+卡培他滨+贝伐珠单抗。
2020-04 复查CT:腹膜病变较前缩小。
2020-06 复查CT:腹盆腔少量积液,腹膜增厚,较前变化不大。因患者乏力及消化道反应,2020-06至2020-09 贝伐珠单抗+卡培他滨片。
2020-09 患者因自觉右上腹隐痛,复查CT提示肝脏边缘多发结节部分较前增大;腹膜增厚,较前新发。


肝脏边缘多发结节,部分较前增大,考虑腹膜转移瘤。
腹膜增厚,提示腹膜转移,较前新发。
三线治疗
2020-09至2021-01 瑞戈非尼靶向治疗。
肝脏边缘腹膜转移瘤,同前相仿。
腹膜增厚,提示腹膜转移,较前变化不大。
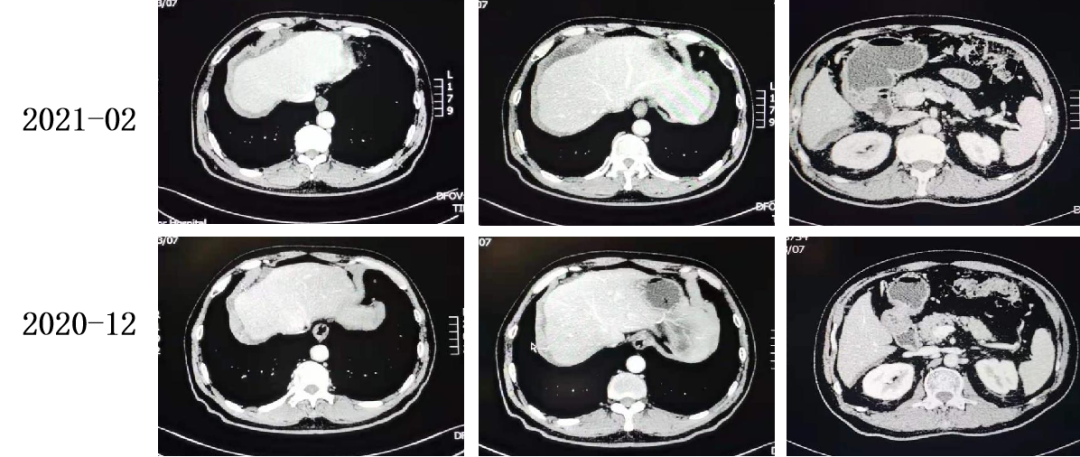
2021-02 复查CT:腹盆腔少量积液,腹膜增厚,较前进展。

腹盆腔少量积液,腹膜增厚,较前进展。
2021-02-24至2021-04-29 2周期 TAS-102+贝伐珠单抗。

2021-04至2021-05 TAS-102+贝伐珠单抗。
复查CT:腹膜增厚,提示腹膜转移,较前变化不大。

肝周少量积液,肝缘腹膜增厚,大网膜絮状增厚,轻度FDG代谢,考虑腹膜转移。
2021-06至今 TAS-102+贝伐珠单抗。
复查CT:腹膜增厚,提示腹膜转移,较前变化不大。
肿瘤抗体检查

04. 疗效评估
SD
2022-05 复查CT

乙状结肠癌术后改变,同前相仿;左侧盆腔腰大肌旁混杂密度结节,多系术后改变,同前相仿。
肝尾状叶边缘、胰腺上方钙化结节,同前相仿;腹盆腔少量积液,腹膜转移,盆腔积液减少,余较前略较前变化不大。
2022-06 腹部平片

右中上腹肠管扩张并少许气液平面,考虑肠梗阻。
治疗回顾性肿抗指标变化。

*本文仅代表专家观点,并经专家审校。