
为了响应《“健康中国2030”规划纲要》,实现我国全民消化肿瘤早诊早治,《肿瘤界》设立“齐力荟聚-消化肿瘤频道”,聚焦消化肿瘤患者的诊断治疗。旨在报道国内前瞻性、创新性和高学术水平的关于消化道肿瘤防治的临床应用和基础研究,把握学术发展动向,促进学术交流,整体提高国内消化肿瘤防治的临床与研究水平,结合国内研究特色,以及国内临床规范制度,推动消化肿瘤防治的进步,普及推广临床规范化诊疗。
一、专家访谈
专家简介

01 约有50%的结直肠癌患者会发生肝转移,其中有半数的肝转移患者在结直肠癌初次诊断时就已经发现。肝转移是影响结直肠癌患者预后的非常重要的因素。请您介绍一下我国结直肠癌肝转移的发生率?结直肠癌肝转移患者的治疗有哪些要点?
最新流行病学调查数据显示,结直肠癌在我国已成为仅次于肺癌的第二大高发癌种,是最常见的消化道肿瘤。结直肠癌最主要的转移部位是肝脏,初诊结直肠癌患者中15%~25%存在肝转移,在全部病程中出现肝转移的比例高达50%。据中山大学肿瘤防治中心的统计数据,经过外科、内科等多个学科综合治疗的结直肠癌肝转移患者,5年生存率为40%左右,与MD安德森癌症中心等国际一流医学中心的数据相近。
多学科综合治疗(multi-disciplinary treatment,MDT)的诊疗模式是结直肠癌肝转移最有效的治疗策略,其中涉及手术、介入治疗、化疗、靶向治疗、免疫治疗和放疗等手段。MDT模式要综合评估患者的体力状况、器官功能和合并症等情况,制定最合适的综合治疗方案。若患者风险评估预后较好,则可积极进行手术治疗,并给予术后辅助治疗;若患者风险评估属于中高危,则首先行系统治疗,在获得理想疗效的基础上开展局部治疗,以期达到无疾病证据(no evidence of disease,NED)状态。
02 目前结直肠癌肝转移患者整体预后仍有一定改善空间,在临床实践中为结直肠癌肝转移患者制定个体化治疗方案时应综合考虑哪些因素?
肝脏是结直肠癌血行转移最主要的靶器官,我国约80%的结直肠癌患者在病程中可发生肝转移。结直肠癌肝转移患者即使已进入疾病晚期,也仍有机会接受肝转移灶的完整切除,使其预后接近早期肿瘤患者。目前,结直肠癌肝转移患者经过有效治疗,总生存(overall survival,OS)时间甚至可达5年以上。因此,在制定结直肠癌肝转移患者的治疗策略时,应特别关注转移灶完整切除的可能性。但可切除患者占比仅为15%-20%,绝大部分患者初始无法接受手术治疗,这部分患者或可通过药物治疗等手段获得手术切除的机会。例如RAS野生型患者可于化疗基础上联合靶向药物治疗,使病灶缩瘤、降期,从而成为可切除灶。但对于同时存在其他组织和脏器转移,如骨转移、腹腔淋巴结转移的结直肠癌肝转移患者,或肝转移灶为弥漫性病变的患者,其治疗目标绝非获得手术机会,而是通过药物合理地排兵布阵,使患者在一二三线有更多的机会接触药物治疗,最大限度地延长患者OS时间。
临床实践中针对结直肠癌肝转移患者制定治疗决策前需要考虑以下几方面因素:首先需考虑患者自身因素,包括体能状况、年龄、既往是否接受过手术治疗、术后是否需要辅助化疗等;其次应考虑肿瘤特征,包括肝转移灶的数量、大小、肿瘤负荷、分子特征(是否存在RAS突变、RAF突变、HER-2扩增及其他基因状态);最后应考虑患者治疗意愿及其对自身疾病预后的期望。结合以上多方面因素综合考量,最终为结直肠癌肝转移患者制定最佳的个体化治疗策略。
03 请您结合研究进展谈谈,标准治疗方案失败后结直肠癌肝转移患者有哪些新的治疗选择?
对于无手术切除可能的患者,经过化疗+靶向治疗,以及动态评估,在适当的时机可以联合局部治疗,提升生存率,改善患者预后。浙江省肿瘤医院的一项单中心观察性研究发现,对于入组的76例结直肠癌肝转移患者,在标准治疗方案失败后采用瑞戈非尼联合载药微球-肝动脉化疗栓塞术方案较瑞戈非尼单药可获得更长的无进展生存(progression-free survival,PFS)时间(7.6个月 VS 4.1个月,P<0.001)和OS时间(15.7个月 VS 9.2个月,P<0.001),除此之外,在客观缓解率(objective response rate,ORR)和疾病控制率(disease control rate,DCR)方面,瑞戈非尼联合方案也具有更显著的优势。与此同时,北京大学肿瘤医院的一项回顾性研究也在瑞戈非尼联合肝动脉灌注化疗(hepatic arterial infusion chemotherapy,HAIC)方面进行了探索。结果显示,该方案在既往标准治疗失败的结直肠癌肝转移群体中可实现22.2个月的OS和10.8个月的PFS,疗效确切。
04 中国抗癌协会组织我国各领域肿瘤权威专家集体编写完成的我国首部《中国肿瘤整合诊治指南(CACA)》于2022年4月发布。其中,曲氟尿苷替匹嘧啶片(TAS-102)+贝伐珠单抗被CACA-RC指南推荐作为晚期不可切除结直肠癌一线治疗方案,请您谈谈该药物在临床应用中的特点和优势有哪些?
曲氟尿苷替匹嘧啶片(TAS-102),是由曲氟尿苷(FTD)与盐酸替匹嘧啶(TPI)以1:0.5摩尔比组成的一种口服复方制剂。近年来,多项临床研究不断为曲氟尿苷替匹嘧啶片(TAS-102)的临床可及性打下良好基础,DANISH研究将曲氟尿苷替匹嘧啶片(TAS-102)与贝伐珠单抗联合用于转移性结直肠癌(meta-static colorectal cancer,mCRC)二线及以上治疗,发现联合组较曲氟尿苷替匹嘧啶片(TAS-102)单药组疗效更好,中位PFS时间(4.6个月对比2.6个月)和OS时间(9.4个月对比6.7个月)显著延长,且联合组安全性可控,未出现非预期的不良反应。日本C-TASK-FORCE研究和欧洲DANISH研究均显示,对于PS为0-1分的mCRC患者,曲氟尿苷替匹嘧啶片(TAS-102)+贝伐珠单抗三线治疗实现了超过4.5个月的中位PFS时间,超越了既往单药三线治疗的总体水平,且未显著增加不良事件。曲氟尿苷替匹嘧啶片(TAS-102)+贝伐珠单抗4周方案治疗mCRC显示了良好的抗肿瘤活性。日本BiTS研究确证了双周方案可在不影响疗效的前提下,明显降低中性粒细胞减少症发生率。日本KSCC1602研究和欧洲TASCO-1研究都成功探索了曲氟尿苷替匹嘧啶片(TAS-102)+贝伐珠单抗用于mCRC一线治疗的疗效和安全性。
mCRC的标准化疗方案在指南中是以奥沙利铂或伊立替康为基础的FOLFOX和FOLFIRI方案,在此基础上可以联合西妥昔单抗或者贝伐珠单抗,但依旧有部分患者身体状况无法耐受加强化疗,少数患者因为高敏可能出现药物过敏,针对这一类患者,治疗方案的选择非常有限且预后并不理想。临床上往往推荐口服化疗药物+贝伐珠单抗的方案。2022年CACA-RC指南基于TASCO1研究的结果,推荐拒绝静脉化疗或不能耐受强烈治疗、易敏的晚期肠癌患者姑息一线选择曲氟尿苷替匹嘧啶片(TAS-102)+贝伐珠单抗方案。TASCO1研究是一项旨在随机比较曲氟尿苷替匹嘧啶片(TAS-102)+贝伐珠单抗和卡培他滨+贝伐珠单抗在一线治疗不可耐受强烈治疗的不可切除mCRC的II期研究。研究结果显示:TAS-102组患者mPFS时间延长1.41个月(9.23个月vs 7.82个月),mOS时间延长4.64个月(22.31个月vs 17.67个月)。安全性分析也提示曲氟尿苷替匹嘧啶片(TAS-102)+贝伐珠单抗治疗具有良好的耐受性,最常发生的3/4级不良事件是中性粒细胞减少症。严重的发热性中性粒细胞减少症发生率约为4%。
曲氟尿苷替匹嘧啶片(TAS-102)+贝伐珠单抗方案因其疗效和安全性兼顾的特点为不适合强烈治疗的mCRC患者及老年患者带来了新的希望。
二、病例分享
专家简介

01 基本情况
基本信息:吴XX,性别:女,年龄:68岁,身高:1.65m,体重67kg。
主诉:排便困难伴腹胀40天,便血20余天,2021-02-09首次于我院就诊。
既往史:“2型糖尿病”“高血压”病史,口服药物控制良好;“左乳癌改良根治术”术后7年余,术后行6次辅助化疗,规律复查,未见复发迹象。
个人史:有输血史,对“青霉素”过敏。
家族史:无特殊。
02 初诊病史
入院查体:左乳缺如,右乳正常。直肠指诊:患者取膝胸位,进指约6cm,未触及肿物退指,指套有染血。
辅助检查:结肠镜(外院 2021-02-02):直肠距肛缘5cm前壁可见溃疡浸润型新生物,基底较深,侵及约1/3周,质地脆,易出血。病理结果(外院 2021-02-05):(直肠)腺癌。
会诊病理(我院 2021-02-09):(直肠)腺癌。

肿瘤标志物:CEA 78.41ng/ml。
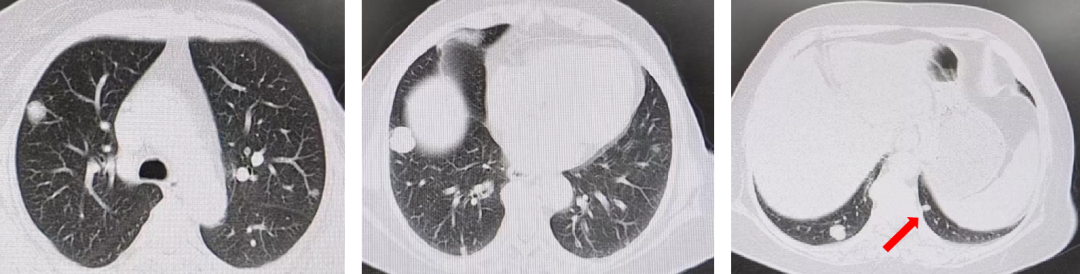
胸部+全腹部增强CT(我院 2021-02-17):直肠壁增厚,考虑直肠癌;盆腔多发稍大淋巴结;肝左叶低密度影,不除外转移瘤;双肺多发结节影,考虑转移瘤(左肺3个,右肺6个,较大者位于右肺下叶,直径约1.6cm)。


盆腔+上腹部增强MRI(我院 2021-02-20):肝左叶异常信号,考虑转移;双肺多发结节影。
直肠壁肿物,肿瘤矢状径:4.2cm;最厚处2.0cm;肿瘤远端距肛缘10.2cm,符合直肠癌表现(影像分期T4aN2Mx);盆腔多发增大淋巴结。

CT引导下肺结节穿刺活检(2021-02-18):坏死组织中可见异型腺体,考虑腺癌。免疫组化结果(2021-02-24):AE1/AE3(+),TTF-1(-),CDX2(+),NapsinA(-),CK20(+)。
Ki-67(阳性细胞数60%),腺癌,考虑胃肠源性。
KRAS、NRAS、BRAF基因检测:KRAS 2号外显子G12X突变。MLH1(+),PMS2(+),MSH2(+),MSH6(+),HER2(0)。
03 治疗方案
一线治疗:2021-02-19至2021-09-18 行CAPEOX*1周期,CAPEOX+贝伐珠单抗7周期。
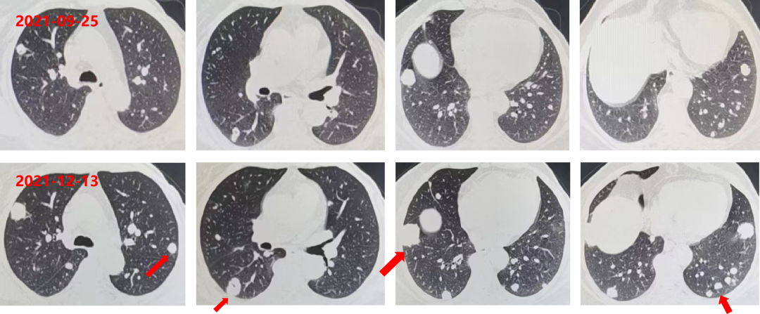
2021-09-25 复查CEA:82.1ng/ml。
胸部增强CT:双肺多发转移瘤,部分较前片增大;直肠壁增厚,较前稍减小;肝左叶低密度影,较前片变化不大。


肺内靶病灶稳定,出现新病灶,疗效评估PD。
肺转移灶病理免疫组化:MLH1(+),PMS2(+),MSH2(+),MSH6(+)。
二线治疗:2021-10-01至2021-11-18 mXELIRI+贝伐珠单抗方案4个周期。
2021-12-13 复查 CEA:165.9ng/ml。
胸部+全腹部增强CT:直肠壁增厚,较前未变化;肝左叶低密度影,较前片未变化;双肺多发转移瘤(靶病灶及非靶病灶增大)。

结肠镜:直肠距肛缘10-15cm见溃疡状新生物,侵及管腔多半周,边缘隆起,质脆、易出血,取检。病理:腺上皮高级别上皮内瘤变,灶性癌变。

疗效评估PD。
全基因检测(2021-12-21):
(血浆):KRAS基因(pG12D)突变;TMB 0个突变/Mb;微卫星稳定型(MSS);未发现胚系致病突变。(组织):KRAS基因(pG12D)突变;TMB 7.98个突变/Mb;MSS。
三线治疗:2022-01-14至2022-04-02 瑞戈非尼 2周期+纳武利尤单抗 4周期。
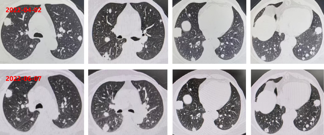
2022-04-02 复查CEA:260.6ng/ml(逐渐升高)。
胸腹部增强CT:双肺多发转移瘤,较前片相比增大(较大者位于右肺下叶,长径约3.4cm,靶病灶增大,出现新病灶),直肠壁和肝左叶病灶未见变化。

疗效评估PD。
四线治疗:曲氟尿苷替匹嘧啶片(TAS-102)+贝伐珠单抗 6个周期。
2022-06-07 复查 CEA:266.3ng/ml。
胸腹部增强CT:双肺多发转移瘤,较前片相比变化不大(较大者位于右肺下叶,长径约3.3cm,靶病灶与非靶病灶未见明显变化)。

疗效评估SD。
04 疗效评估
晚期结肠癌患者多线治疗后,选择贝伐珠单抗联合曲氟尿苷替匹嘧啶片(TAS-102)方案治疗,用药4周期后,患者肿瘤标志物CEA上升趋势趋缓,复查肿瘤控制稳定。目前该方案为患者带来了约3个月的生存获益,仍在治疗中。
*本文仅代表专家观点,并经专家审校。