
为了响应《“健康中国2030”规划纲要》,实现我国全民消化肿瘤早诊早治,《肿瘤界》设立“齐力荟聚-消化肿瘤频道”,聚焦消化肿瘤患者的诊断治疗。旨在报道国内前瞻性、创新性和高学术水平的关于消化道肿瘤防治的临床应用和基础研究,把握学术发展动向,促进学术交流,整体提高国内消化肿瘤防治的临床与研究水平,结合国内研究特色,以及国内临床规范制度,推动消化肿瘤防治的进步,普及推广临床规范化诊疗。
专家访谈
专家简介

1. 据了解,在所有消化系统肿瘤中,结直肠癌被称为最能“防”和最好“治”的肿瘤。根据2022年初国家癌症中心发布的最新癌症统计数据,结直肠癌位列中国第二大高发癌症。近年来,中老年群体的结直肠癌发病率已呈下降趋势,然而中青年群体发病率逐步上升。针对这一现状,请您谈谈结直肠癌应如何预防?
第一方面,从肿瘤的预防来看,我们采取三级预防策略。一级预防是针对病因的预防,在疾病还没发生时,针对致病因素,采取相应措施,例如通过健康科普,提高人们对癌症的认知,养成积极主动的健康意识。二级预防,就是所谓的“三早”预防,即早发现、早诊断、早治疗,能够防止或减缓疾病的发展,包括胃肠镜检查、粪便隐血试验、粪便基因检测等。三级预防是临床预防,患病后及时就医,进行对症治疗、康复治疗。
其中,早筛对于结直肠癌的预防具有重要意义,如发现KRAS、BRAF或者遗传基因突变,就有可能在转变为结直肠癌前提前预防或尽早发现,而早发现、早干预就可能有好的治疗效果。
第二方面是生活习惯的改善,摒弃长期不良嗜好和习惯,如烟酒、肥甘厚味、久坐、熬夜、肥胖等。建议大家在日常生活中多吃一些新鲜的蔬菜水果,高纤维食物,保证充足睡眠,控制体重,更有益于肠道健康。
2. 近年来结直肠的早筛备受重视,在众多早筛检查项目中,结直肠癌基因检测适用于哪些人群?需要检测哪些基因?
约1/3的结直肠癌患者有遗传背景,其中5%~6%为遗传性结直肠癌,对于怀疑为遗传性非息肉病性结直肠癌(HNPCC)、家族性腺瘤性息肉病(FAP)、衰减型FAP(AFAP)、波伊茨–耶格综合征(PJS)、幼年性息肉综合征(JPS)、PTEN错构瘤综合征等的患者和高风险人群建议进行相关遗传基因检测,明确是否携带相关基因突变,从而做到早发现、早诊断、早治疗,以降低发病率和死亡率。
目前肿瘤已进入精准治疗的时代,同一部位的肿瘤根据基因突变位点的不同被分为不同类型,并影响治疗方案的选择,真正做到同病异治。NCCN指南建议晚期结直肠癌患者进行BRAF、KRAS、NRAS、HER2、NTRK以及MSI或者MMR分子标志物的检测。基因检测对结直肠癌患者意义重大,临床可以通过基因检测结果进行分子分型、治疗方案的制定以及预后评估。
3. 近年来在我国结直肠癌领域专家的共同努力下,我国结直肠癌精准诊疗不断进步,尤其是晚期结直肠癌的靶向治疗,目前针对RAS基因、BRAF基因及MSI-H/dMMR基因的研究已广泛开展。请您谈谈在晚期结直肠癌领域的精准治疗发展中,BRAF基因的临床价值?
BRAF基因作为RAF原癌基因家族的成员,位于RAS基因下游,是RAS-RAF-MEK激酶通路上的关键成员。在多种人类恶性肿瘤中,如恶性黑色素瘤、结直肠癌、肺癌、甲状腺癌、脑胶质瘤及朗格汉斯细胞组织细胞增生症,均存在不同比例的BRAF突变。在亚洲结直肠癌患者中,BRAF突变率为5.4%~6.7%。另有研究显示,BRAF基因突变的转移性结直肠癌患者中,90%为BRAFV600E突变。BRAF基因突变可作为肿瘤发生、发展的重要驱动因素,所以早诊、早治对于BRAF突变患者的意义重大,检测方法需要根据个体的临床需求、样本质量来进行判断和选择。
通过已有研究可观察到BRAF突变的晚期肠癌治疗相对复杂,联合治疗是趋势,不同的联合方案探索中,BRAF抑制剂发挥了重要的作用,可以在抗EGFR联合化疗的基础上进一步提升ORR和PFS。在最早的SWOG S1406研究中,化疗联合BRAF抑制剂和EGFR抑制剂的三药联合方案治疗有效率达20%左右,PFS时间达4.2个月,二线以后的治疗达9.1个月左右。
对比两靶点和三靶点的疗效,BRAFV600E突变抑制剂联合EGFR抑制剂,两靶点的治疗有效率在20%左右,OS时间达9个月,中位PFS时间达4.1个月左右,所以目前BEACON研究的两靶点联合方案有望成为晚期结直肠癌BRAF突变患者的一线治疗标准,在全球推广。
对于BRAFV600E突变转移性结直肠癌的治疗,已有多项研究表明BRAF抑制剂+EGFR抑制剂为患者带来良好生存获益和肿瘤缓解。就作用机制而言,在MSS、BRAFV600E结直肠癌的临床前模型中,BRAF抑制剂+EGFR抑制可诱导一过性MSI-H表型,并可能使其对PD-1抑制剂免疫治疗产生应答,因此,这种BRAF抑制剂+EGFR抑制剂基础上加用免疫治疗或可提高BRAFV600E突变转移性结直肠癌患者的疗效。2022年ASCO-GI会议报道的一项研究中,Encorafenib+西妥昔单抗+纳武利尤单抗方案治疗MSS、BRAFV600E突变转移性结直肠癌有效且耐受性良好,该研究在2022 ASCO年会上的更新数据显示,三联方案的ORR为50%,DCR为96%;中位PFS时间为7.4个月,中位OS时间为15.1个月,中位DOR为7.7个月。
此外,在CheckMate142研究中,MSI-H合并BRAFV600E突变亚组接受纳武利尤单抗+伊匹木单抗一线治疗的ORR为76%;KEYNOTE-177研究结果显示,BRAFV600E突变型和野生型的MSI-H/dMMR肿瘤患者可从PD-1抑制剂中有同样的获益。BREAKWATER是正在进行的Ⅲ期研究,旨在评估西妥昔单抗+Encorafenib±化疗对比贝伐珠单抗±化疗一线治疗BRAFV600E突变转移性结直肠癌的临床疗效,结果非常令人期待。
2022年ASCO年会上,SEAMARK研究即探索了帕博利珠单抗+Encorafenib+西妥昔单抗对比帕博利珠单抗单药一线治疗BRAFV600E突变且MSI-H/dMMR结直肠癌的疗效。该研究是一项开放标签、多中心、随机Ⅱ期研究,计划纳入104例患者,按1:1随机接受帕博利珠单抗+Encorafenib+西妥昔单抗或帕博利珠单抗单药治疗。主要研究终点为PFS,次要研究终点包括OS、ORR、DOR、安全性、耐受性以及生活质量。该研究结果或可带来更多新证据。
4. 2022年,曲氟尿苷替匹嘧啶(TAS-102)+贝伐珠单抗被CACA-RC指南推荐作为晚期不可切除直肠癌一线治疗方案。您作为国内老年肿瘤方面的专家,请结合研究进展谈谈此项指南推荐将对国内老年结直肠癌患者带来怎样的获益?
曲氟尿苷替匹嘧啶片(TAS-102),是由曲氟尿苷(FTD)与盐酸替匹嘧啶(TPI)以1:0.5摩尔比组成的一种口服复方制剂。TAS-102抗肿瘤作用机制分为三方面:①TPI抑制胸苷磷酸化酶(TP)降解FTD,维持FTD血药浓度,增强FTD抗肿瘤活性;②FTD抑制胸苷酸合成酶(TS)活性,进而阻断由尿嘧啶合成胸腺嘧啶途径,影响肿瘤细胞DNA合成,导致肿瘤细胞凋亡;③FTD在DNA复制过程中以三磷酸盐形式取代胸腺嘧啶,掺入DNA双链,导致DNA功能障碍,发挥抗肿瘤作用,这也是其主要的作用机制。
TAS-102在中国的获批是基于国际多中心RECOURSE研究和亚太TERRA研究的结果。RECOURSE研究中,TAS-102较安慰剂显著延长患者中位OS时间(7.1个月对比5.3个月)和中位PFS时间(2.0个月对比1.7个月),死亡风险和疾病进展风险分别降低32%和52%。
TERRA研究中,曲氟尿苷替匹嘧啶组患者的中位OS时间(7.8个月对比7.1个月)和PFS时间(2.0个月对比1.8个月)亦得到显著改善,死亡风险和疾病进展风险分别降低21%和57%。而且,这两项研究中,TAS-102的不良反应均以血液学毒性为主,有症状的不良反应发生率低。鉴于其良好的安全性和耐受性,TAS-102与其他药物联合用于肠癌也在研究中进行了探索并取得了不错的结果。
DANISH研究中,TAS-102联合贝伐珠单抗较单用TAS-102中位PFS时间(4.6个月对比2.6个月)和OS时间(9.4个月对比6.7个月)均显著延长。
2021年ASCO-GI大会报告了一项研究进展,纳入的是经研究者判断不耐受强烈治疗的患者和老年患者,既往未接受过化疗,肿瘤负荷较低,证实TAS-102+贝伐珠单抗较卡培他滨+贝伐珠单抗显著延长患者中位PFS时间(9.23个月对比7.82个月)和OS时间(22.31个月对比17.67个月)。TAS-102+贝伐珠单抗被CACA-RC指南推荐作为晚期不可切除直肠癌一线治疗方案,将对国内不耐受强烈治疗的转移性结直肠癌患者和老年患者带来更理想的生存获益。
病例分享
1. 基本情况
基本信息:患者顾**,男,71岁,身高 175cm,体重 59kg。
主诉:直肠癌术后2年余。
既往史、个人史:10年前于苏州大学附属第一医院行消化道穿孔手术,具体不详;否认“糖尿病、高血压”等其他慢性疾病,否认“伤寒、结核”等传染病病史,否认外伤史,否认输血史,否认药物过敏史。
家族史:无。
2. 初诊病史
2019年6月发现肛周持续性酸胀疼痛,伴排便习惯和性状改变,遂于2019年8月至苏州大学附属第一医院就诊完善相关检查。
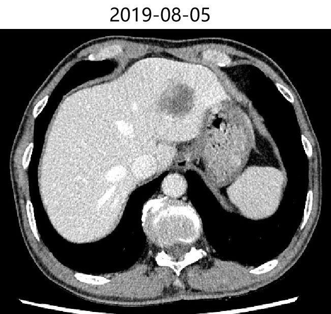
2019-08-05 胸腹部增强CT提示:双肺多发结节影,部分考虑转移可能,建议抗炎治疗后复查;双上肺肺气肿,多发肺大疱;脊柱胸段S形侧弯;胃术后改变;肝脏多发囊肿;肝左叶占位,考虑转移;胆囊结石;左肾小囊肿;前列腺钙化;直肠管壁局部增厚,考虑直肠癌可能,建议结合肠镜活检。
肺:双肺多发结节影,部分考虑转移可能。

肝:肝左叶占位,考虑转移。

3. 手术治疗
于2019-08-08 在全麻下行直肠癌根治Paiks+回肠造口术。
术后病理示:(直肠)中分化腺癌,侵及全层,侵犯神经,另见管状-绒毛状腺瘤,两切端未见癌累及,淋巴结见癌转移(3/11),另见癌结节4枚。
免疫病理I19-07289癌细胞MLH1(+),PMS2(+),MSH6(+),MSH2(+),提示微卫星稳定,Her2(1+),Ki-67(70%+)。
术后复查
2019-09-04 [CT]示:双肺下叶结节,较前(2019-08-05)相仿,恶性可能大;双肺多发结节,较前相仿,转移可能;直肠K术后,胃术后,请结合临床;肝左叶占位,较前增大,考虑转移。
肺:双肺多发结节,较前相仿,转移可能。

肝:肝左叶占位,较前增大,考虑转移。

4. 治疗经过
治疗方案
一线治疗方案:2019-09-04至2020-04-16 予奥沙利铂 0.2g+卡培他滨片 3# bid d1-14化疗联合西妥昔单抗800mg靶向治疗7次。
2019-11-11、2020-03-10、2020-05-11 复查CT评价SD。
头胸腹盆增强CT(2020-07-24)示:双肺多发结节,部分较前(2020-05-11)明显增大,考虑转移灶;肝左叶占位,考虑转移,较前(2020-05-19)增大;考虑病情进展。
肺:肺部多发结节,部分较前(2020-05-11)明显增大,考虑转移。考虑PD。

肝:肝左叶占位,考虑转移,较前(2020-05-11)增大;考虑PD。

治疗方案
二线治疗方案:2020-07-25至2021-01-30予伊立替康 280mg+5-Fu 0.6g,3.5g civ46h+亚叶酸钙 300mg*2d化疗联合西妥昔单抗 800mg靶向治疗6次。
2020-10-30、2021-01-20 复查CT,疗效评价为SD。
2021-05-19头胸腹盆CT,提示双肺多发结节,较前(2021-01-20)大致相仿,考虑转移灶可能;肝左叶占位,考虑转移,较前增大;肝右后叶强化灶考虑转移,较前新增。
肺:肺多发结节,较前(2021-01-20)大致相仿,考虑转移灶可能。

肝:肝左叶占位,考虑转移,较前增大;肝右后叶强化灶考虑转移,较前新增。

治疗方案
三线治疗方案:于2021-06-08至2022-03-22 予卡瑞利珠单抗 200mg+呋喹替尼3mg qd+TAS-102 45mg bid治疗9次。
2022-05-24 复查CT提示SD。
治疗小结

5. 总结
患者自 2021-06-08 至今,口服TAS-102 45mg bid。
TAS-102是一种新型口服细胞毒药物,作用机制不同于氟尿嘧啶,可用于氟尿嘧啶耐药患者。
国际RECORSE和亚太TERRA研究证实,TAS-102三线治疗mCRC具有一致的疗效和安全性;显著延长mCRC患者生存期,降低死亡和疾病进展风险,尤其对于年龄≥65岁患者获益更显著;显著延缓体能下降,为持续治疗提供体能储备。
主要不良事件为血液学毒性,有自觉症状不良事件发生率较低。
国内外指南一致推荐TAS-102作为mCRC标准三线治疗药物。
*本文仅代表专家观点,并经专家审校。