
为了响应《“健康中国2030”规划纲要》,实现我国全民消化肿瘤早诊早治,《肿瘤界》设立“齐力荟聚-消化肿瘤频道”,聚焦消化肿瘤患者的诊断治疗。旨在报道国内前瞻性、创新性和高学术水平的关于消化道肿瘤防治的临床应用和基础研究,把握学术发展动向,促进学术交流,整体提高国内消化肿瘤防治的临床与研究水平,结合国内研究特色,以及国内临床规范制度,推动消化肿瘤防治的进步,普及推广临床规范化诊疗。
- 专家访谈 -
专家简介

01 我国始终在推广结直肠癌的早筛、早诊、早治等工作的开展,您认为可以从哪些方面具体落实相关工作来实现结直肠癌患者5年生存率的再突破?
我国结直肠癌发病率呈上升趋势,国家癌症中心最新数据显示,现我国结直肠癌发病率为23.9/10万,每年新发病例数达55万,居我国肿瘤性疾病第三位。为提高我国结直肠癌患者5年生存率,需从疾病预防、早筛、早诊、早治各个方面入手。
预防方面:结直肠癌发生与生活方式、环境、年龄增长有密切关系。健康饮食、戒烟限酒、适当运动、规律作息、控制体重等都是预防结直肠癌发生的重要措施。
早筛、早诊、早治方面:我国人口基数大、医疗卫生条件参差不齐,应尤其重视结直肠癌早期筛查。40岁以上人群应考虑接受结直肠癌风险评估,并据此决定筛查方式和间隔时间。结直肠癌高危因素包括:一级亲属结直肠癌病史(尤其是家族遗传性结直肠癌病史)、肠道腺瘤或息肉病史、既往曾患结直肠癌、炎性肠病病史(如溃疡性结肠炎、克罗恩病)、便潜血阳性。存在高危因素的人群可通过便潜血、肠镜(如仿真肠镜、胶囊内镜)、粪便DNA检测进行结直肠癌筛查,其中便潜血筛查应每年一次;高危人群自40岁起就应接受肠镜筛查,低危人群肠镜筛查不应晚于50岁,对于肠镜发现息肉的患者应尽早切除,切除后每2-3年常规复查,若肠镜检查未见明显异常可每5年常规复查;粪便DNA检测建议每1-3年复查。早治方面,若早期发现了结直肠癌,应尽早行病灶切除,以改善患者远期预后。
02 免疫治疗在NSCLC、黑色素瘤、泌尿系统肿瘤等实体瘤中,都取得了巨大进展,使原来化疗不敏感、无药可治的患者,达到相对治愈。然而免疫治疗在结直肠癌中发展并不算迅速。您认为未来在结直肠癌领域,免疫治疗的探索方向有哪些?
免疫治疗在结直肠癌中发展并不算迅速,将来免疫治疗要进一步在结直肠癌中有所突破,我认为还是需要分人群,从两大方面着手。
第一,免疫治疗在MSI-H型晚期结直肠癌中的疗效已经获得了肯定,未来的探索方向为如何进一步提高疗效和扩大获益人群。Checkmate 142队列研究已经显示在晚期结直肠癌的一线治疗中“双免”优于“单免”,但该研究仅入组了十几例患者;免疫联合化疗、免疫联合靶向、双免等策略是否能提高疗效,还需要Ⅲ期临床研究进一步证实,如正在开展的Checkmate 8HW研究和COMMIT研究,期待这些研究能够给到我们答案。
第二,免疫治疗前移至MSI-H结直肠癌的新辅助/辅助治疗中是非常有前景且相对迫切的。年轻MSI-H低位直肠癌患者,或许可以通过术前免疫治疗使其保留肛门,保障生活质量;MSI-H结直肠癌患者接受根治性手术治疗后,或许可以通过术后免疫辅助治疗获得长期无病生存。目前,这方面也有大量研究在开展,如国内计划开展的MSI-H结直肠癌患者根治术后传统两药化疗与PD-1抑制剂辅助治疗的头对头对比Ⅲ期临床研究,希望为这部分化疗不敏感患者提供更好的手段来改善术后生存情况。
目前免疫治疗在MSS型结直肠癌中的疗效尚未达“及格线”,研究者们仍需继续探索如何取得疗效。其一,探索免疫+化疗、免疫+靶向、免疫+抗血管生成治疗、免疫+免疫等联合治疗的疗效。其二,在MSS基础上,再去寻找一些分子标志物,如TMB、PD-L1表达、BRAC基因等,从而进一步筛选可能从免疫治疗中获益的患者。
03 我国约60%-70%的晚期结直肠癌患者没有接受根治性手术的机会,尽管近年来药物治疗取得了明显的进步,但晚期不可切除的晚期结肠癌患者,中位生存时间仅为20-25个月,5年生存率低于10%,改善无法治愈的晚期肠癌患者的生存和预后,提高生活质量,具有重要的临床意义。2022年,曲氟尿苷替匹嘧啶(TAS-102)+贝伐珠单抗被CACA-RC指南推荐作为晚期不可切除直肠癌一线治疗方案,将为国内晚期不可切除直肠癌患者带来怎样的治疗获益?
TAS-102是目前比较新型的口服化疗药,为临床用药的可及性带来了希望。TAS-102在中国的获批是基于国际多中心RECOURSE研究和亚太TERRA研究的结果。鉴于其良好的安全性和耐受性,TAS-102与其他药物联合用于结直肠癌也在研究中进行了探索并取得了不错的结果,获得了包括ESMO、NCCN、CSCO等中外权威指南的推荐。
晚期结直肠癌依然是困扰结直肠肿瘤治疗的瓶颈问题。因为晚期结直肠癌的发生通常预示着预后相对较差、患者生存期不长,但依然有治愈的可能,这个时候就关系到我们能否选择正确合理的用药方案。
鉴于TAS-102联合贝伐珠单抗在结直肠癌后线治疗的良好结果,该方案用于一线治疗是否可行的话题一直备受关注。2021年ASCO-GI大会报告了一项研究,该研究纳入的是经研究者判断不能耐受强烈治疗的患者和老年患者,既往未接受过化疗,肿瘤负荷较低,证实TAS-102+贝伐珠单抗较卡培他滨+贝伐珠单抗显著延长中位PFS时间(9.23个月对比7.82个月)和OS时间(22.31个月对比17.67个月)。TAS-102+贝伐珠单抗被CACA-RC指南推荐作为晚期不可切除直肠癌一线治疗方案,将为国内不适合强烈治疗的晚期不可切除结直肠癌患者及老年患者带来了新的希望,其疗效与生存获益值得期待。
通常情况下,晚期不可切除的结直肠癌患者ECOG评分较高,可以选择较强烈的治疗方案;身体状况较差、老年、合并心肺功能并发症或不耐受强烈治疗方案的患者,则可推荐TAS-102+贝伐珠单抗作为晚期不可切除直肠癌的姑息一线治疗方案,该治疗方案不良反应相对较少,疗效确切,即使在一些患者出现5-FU耐药、卡培他滨耐药或手足综合征,依然可选。
04 近年来,各种实体瘤均在探索靶免联合治疗策略。靶免联合治疗有哪些适用人群,您对靶免联合治疗在结直肠癌中的应用展望如何?
结直肠癌中谈靶免联合治疗前应首先将患者分为两类。
第一类为微卫星高度不稳定(MSI-H)型结直肠癌患者,约占5%。MSI-H型结直肠癌患者对免疫治疗的反应较好,目前MSI-H型结直肠癌患者标准治疗方案是免疫单药治疗。在免疫单药基础上,联合抗血管生成的靶向药物、化疗或其他免疫药物是否能够取得更好的疗效仍在研究中。
第二类为微卫星稳定(MSS)型结直肠癌患者,约占90%以上。目前各大指南中对MSS型患者暂未作出免疫治疗的推荐,仅建议在标准治疗失败、排除免疫治疗禁忌证的患者中,在充分知情同意后尝试靶免联合治疗。MSS型结直肠癌患者靶免联合治疗始于2019年日本REGONIVO研究,研究结果显示瑞戈非尼联合免疫治疗用于标准治疗失败的晚期MSS型结直肠癌患者可获得33%的客观缓解率(ORR),成为该群体治疗方面的一大突破。
在REGONIVO研究引导下,近些年涌现了大量尝试靶免治疗的研究,研究对各种靶向抗血管生成药物、PD-1抑制剂、PD-L1抑制剂进行各种不同的组合。但目前各研究结果尚未达成一致。期待未来更多大规模、多中心、III期临床试验能够进一步带来确切的结论。
- 病例分享 -
01 基本情况
基本信息:患者 张XX,女性,61岁,身高:163cm,体重:62Kg。
2021年5月 因“腹胀伴排便习惯改变1月”于外院就诊。
既往史、个人史:有高血压病史,血压控制良好;2008年有子宫切除史。
家族史:无特殊。
专科检查:ECOG PS 1分,心肺无异常。
02 初诊病史
2021-5-17 外院肠镜示:结肠肝曲有新生物占据肠腔,肠腔狭窄,内镜无法通行。
肠镜活检病检提示:结肠腺癌。
我院病理会诊:腺癌 pMMR
KRAS/BRAF基因突变检测分析报告:KRAS、BRAF基因检测区域未检测到突变(野生型)。


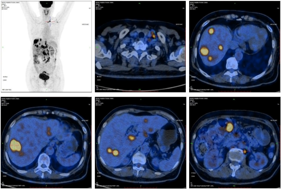
2021-5-27 我院全身PET/CT示:横结肠近结肠肝曲肠壁增厚,代谢增高;肝内多发团块、结节灶,代谢增高;左颈部Ⅴ区、左锁骨上区、左侧膈肌脚内侧、肝门区、胰腺后方、横结肠周围及腹膜后区多发肿大淋巴结,代谢增高;上述考虑恶性病变,结肠癌伴肝脏、淋巴结转移。
PET/CT影像:

03 治疗方案
转化治疗
2021-5-29至2021-9-21 共行6周期 贝伐珠单抗+伊立替康+奥沙利铂+卡培他滨方案化疗。
疗效评价为PR,经外科评估可行手术治疗,遂术前停用贝伐珠单抗。
为不降低治疗强度,将卡培他滨调整为雷替曲塞。
2021-10-16至2021-11-9 行2周期 伊立替康+奥沙利铂+雷替曲塞方案化疗。
04 术前评估


手术治疗
2021-12-9 行腹腔镜右半结肠切除术+腹腔恶性肿瘤特殊治疗。
术后病理示:
结肠癌化疗后切除标本:1.(右半结肠)腺癌,中分化,伴坏死,肿瘤大小约2.5cm*1cm*1cm,浸润至浆膜下脂肪组织,可见脉管内癌栓及神经侵犯。新辅助化疗后Dworak肿瘤消退分级:TRG 1级(轻度消退,观察到<25%的肿瘤组织发生明显纤维化)。2.大肠吻合口、小肠吻合口组织均未见癌。3.网膜组织未见癌。4.阑尾组织慢性炎。5.肠系膜淋巴结2/20可见癌转移。6.送检(第6组)淋巴结0/1枚未见癌转移。
分期:pT4aN1bM1a IVA期

术后维持治疗
2022-1-8至2022-5-20 共行6周期 贝伐珠单抗+伊立替康+奥沙利铂+卡培他滨方案化疗。
术后5周期化疗后复查疗效为SD。
2022-6-22 开始行贝伐珠单抗+卡培他滨维持治疗。

05 病例点评
该病例为晚期结肠癌,经过转化治疗后,病灶明显缓解,获得了手术切除的机会,维持治疗使患者获得了长期的肿瘤控制状态,具有以下特点:
1. 为右半结肠癌,初诊时肿瘤转移广泛,肝内转移,颈部、锁骨上、胸腔、腹腔多发淋巴结转移,表明肿瘤负荷大。
2. 基因检测为pMMR,K-ras和BRAF均为野生型,有较好预后的趋势。
3. 患者PS评分较好,有进行强化治疗的可行性。
4. 抗血管生成治疗是晚期结直肠癌的重要治疗方式,有提高ORR和长期生存率的证据。
5. 三药化疗方案较两药化疗方案有更好的肿瘤缓解率和转化效率。
该病例虽然肿瘤负荷大,采用贝伐珠单抗联合三药化疗的方案,显示了原发病灶和肝内转移灶、淋巴结转移灶都获得了明显的控制,部分病灶达到CR,为手术切除创造了良好的机会。因此,对于体力状况好的晚期结直肠癌患者,三药治疗有更好的转化效率;同时,抗血管生成治疗应在更多的晚期结直肠癌病例中推广使用,以使更多的患者能够获得持久的肿瘤缓解。
*本文仅代表专家观点,并经专家审校。