
为了响应《“健康中国2030”规划纲要》,实现我国全民消化肿瘤早诊早治,《肿瘤界》设立“齐力荟聚-消化肿瘤频道”,聚焦消化肿瘤患者的诊断治疗。旨在报道国内前瞻性、创新性和高学术水平的关于消化道肿瘤防治的临床应用和基础研究,把握学术发展动向,促进学术交流,整体提高国内消化肿瘤防治的临床与研究水平,结合国内研究特色,以及国内临床规范制度,推动消化肿瘤防治的进步,普及推广临床规范化诊疗。
01专家访谈
专家简介

刘天舒 教授
复旦大学附属中山医院
主任医师、博士生导师。
复旦大学附属中山医院肿瘤内科主任;肿瘤早期研究病房主任;复旦大学附属中山医院肿瘤防治中心秘书长。
学术兼职:上海市肿瘤化疗质量控制中心主任;上海市医学会临床流行病学循证医学专科第七届主任委员;CSCO抗肿瘤药物安全管理专委会/转化医学专委会副主任委员;中国女医师协会临床肿瘤专委会副主任委员;CSCO临床研究专委会/胃癌专委会常委;中国抗癌协会第六届胃癌专业委员会常委;中国抗癌协会肿瘤大数据与真实世界研究专委会常委;中华医学会肿瘤学分会委员;中国生物医学工程学会肿瘤靶向治疗技术分会常委;中国老年学和老年医学学会肿瘤康复分会常委。
Q01:结直肠癌,俗称“大肠癌”,是全球发病和死亡居首位的消化系统恶性肿瘤。随着社会和经济的发展,生活节奏加快导致的生活方式问题成为现代人的常态,消化系统健康往往被忽视,疾病便随之而来,近年来也频频报道年轻人患上大肠癌的新闻。据此,大肠癌近几年是不是越来越常见?发病是否有年轻化趋势?
据中国疾病预防控制中心(简称中国疾控中心)和国外发布的相关数据显示,大肠癌的发病率在国内外均已排到恶性肿瘤发病率第三位,但由于大肠癌患者的整体生存时间较长,五年生存率数据可观,死亡率在国内居恶性肿瘤死亡率第五位。在消化肿瘤工作中,有一个明显现象,有很多被称为“老病人”的患者,多年坚持配合医院治疗、随访,即便初诊时已是晚期或复发转移的患者,生存时间都相对较长,生活质量也较理想,甚至有望获得长期更好的生存获益,这大概是目前大肠癌诊疗现状的缩影。
那么是否有年轻化趋势?目前,中国疾控中心并没有发布关于大肠癌患者年轻化趋势的数据。临床工作中,或许出现了年轻患者逐渐增多的现象,但并不能作为大肠癌年轻化趋势的定论,需根据全球或者中国疾控中心流行病学数据进行探讨,才是严谨的。
Q01:为了避免大肠癌出现年轻化趋势,积极配合国家疾病防控策略以及一级预防、二级预防指导措施,那么目前大肠癌的早期预防和筛查有哪些有效举措?
近年来,临床上大肠癌一期、二期肿瘤发现机会逐渐升高,那为什么出现这种现象?主要源于百姓健康科普的深入,人们健康意识和体检意识的增强,社区的体检筛查项目也起到了重要作用,国内很多社区早些年已经开展了大便隐血筛查等试验,阳性结果人群须进一步肠镜检查,这也是发现早期大肠癌的重要举措。
另外,关于早期大肠癌的一些症状,除了刚才谈到的大便隐血,我们现在也非常关注高危人群。消化肿瘤可能会存在某些遗传综合征如Lynch综合征,指的是家族连续好几代人中有多人患大肠癌,这类人群须引起重视,即使当下是健康状态,也应提醒和建议这类人群高频地进行筛查,如果有息肉发生,应及时切除,避免癌变。
这些我们称之为一级预防和二级预防的措施,能够更好地阻断大肠癌的发生,并且随着我国医疗技术的提升,医疗条件的改善,积极有效的预防措施也是目前大肠癌死亡率下降的重要原因之一。
Q03:随着治疗手段的不断进步让转移性结直肠癌患者生存时间不断延长,请问原发肿瘤部位对制定转移性结直肠癌患者诊疗策略的影响如何?
如果是转移性结直肠癌的患者,要实现生存时间延长,主要取决于药物的发展和原发肿瘤要不要切除,从经典肿瘤学理论来说,一旦肿瘤发生转移,临床上不再会考虑手术治疗。但结直肠癌比较特殊,一部分转移性结直肠癌患者会发生肠梗阻,甚至会因为肠梗阻而检查出结直肠癌。初发为肠梗阻的转移性结直肠癌患者,CT检查常常可以看到肠管极度扩张,原发灶的及时处理对这类患者尤为重要;另外,原发肿瘤的其他并发症如穿孔、出血等严重危及生命,即便已经有远处转移,依然需要局部处理和手术。近些年,部分医院会选择在肠镜下对梗阻部位放置支架,原因在于这类肿瘤发生时,急诊手术风险很高,通过放置支架可以短期内改善梗阻症状,使患者一定程度恢复体内的生物学平衡,纠正生理指标,对后期的手术起到很好的安全铺垫作用。
那么我们一般谈及的四期肿瘤的处理通常以原发肿瘤是否引起症状作为依据,另一种情况可以考虑原发肿瘤的手术切除。例如,在治疗过程中肿瘤控制的非常好,尤其是有研究发现RAS野生型结直肠癌对药物非常敏感,可能经过3~4个月的治疗使肿瘤缩小至理想状态,此时患者的疾病进展也非常缓慢时,可以对原发肿瘤甚至转移肿瘤实施切除,这类患者将是非常幸运的,即便是初诊为晚期转移性结直肠癌患者,也有可能通过有效治疗延长数年甚至更久的生存时间。
Q04:曲氟尿苷替匹嘧啶是肠癌三线治疗中唯一的口服化疗药,最新版的CSCO肠癌指南中,基于DANISH研究的结果,该药与贝伐珠单抗联合也写进了三线推荐。请您谈谈曲氟尿苷替匹嘧啶在疗效和安全性的优势或特色。
曲氟尿苷替匹嘧啶是目前比较新型的口服化疗药,为临床用药的可及性带来了希望。刚才谈到曲氟尿苷替匹嘧啶已经纳入了新版的CSCO肠癌指南,能被用药指南推荐的所有药物都是基于药物前期完善的临床研究。
曲氟尿苷替匹嘧啶在中国的获批是基于国际多中心RECOURSE研究和亚太的TERRA研究的结果。RECOURSE研究中,曲氟尿苷替匹嘧啶较安慰剂显著延长中位OS时间(7.1个月对比5.3个月)和中位PFS时间(2.0个月对比1.7个月),死亡风险和疾病进展风险分别降低32%和52%。TERRA研究中,曲氟尿苷替匹嘧啶组的中位OS时间(7.8个月对比7.1个月)和PFS时间(2.0个月对比1.8个月)亦得到显著改善,死亡风险和疾病进展风险分别降低21%和57%。而且,这两项研究中,曲氟尿苷替匹嘧啶的不良反应均以血液学毒性为主,有症状的不良反应发生率低。鉴于其良好的安全性和耐受性,曲氟尿苷替匹嘧啶与其他药物联合用于肠癌也在研究中进行了探索并取得了不错的结果。如DANISH研究中,曲氟尿苷替匹嘧啶联合贝伐珠单抗较单用曲氟尿苷替匹嘧啶中位PFS时间(4.6个月对比2.6个月)和OS时间(9.4个月对比6.7个月)显著延长。NCCN指南和CSCO指南因此也将曲氟尿苷替匹嘧啶联合贝伐珠单抗方案纳入了肠癌的三线治疗推荐。
02病例分享
专家简介

吴菁 医生
复旦大学附属中山医院
复旦大学附属中山医院主治医师;博士。
学术兼职:中国老年学和老年医学学会肿瘤康复分会委员会委员;CSCO会员;主持国家自然科学基金、同济人才项目以及省自然科学基金各一项;以第一作者发表SCI文章近10篇;擅长胃肠道肿瘤、肺癌的靶向及免疫治疗。
既往诊疗经过
【基线情况】
患者女,65岁。
2008-10 肠镜检查发现直肠腺癌;2008-10-24 外院行直肠癌根治术;术后具体治疗不详,定期随访。
2014-9 外院PET-CT:直肠癌术后,直肠左旁一结节,FDG代谢增高,MT不除外。
2014-10-25 外院行直肠癌根治术+子宫双附件切除+阴道后壁切除术:病理:(直肠浆膜面)腺癌伴神经内分泌标志物表达(Syn+,CgA 灶+),不除外肠癌复发或浸润转移。
【姑息一、二线治疗】
2014-11至2015-2外院术后辅助:XELOX×3周期(奥沙利铂过敏),后续卡培他滨单药化疗5周期。2016-8 外院PET-CT提示新见左盆壁多枚结节;评估:PD。2016-8至2016-10行盆腔放疗。
2016-10-18至2017-2-15外院姑息一线治疗:XELIRI×5周期。2018-3 外院PET-CT提示两肺多发转移;评估:PD。2018-5至2019-2 外院多次行肺部转移灶射频消融术。
2020-7至2021-2外院姑息二线:FOLFIRI×12周期。2021-3 外院CT提示两肺多发转移,较前增大增多;评估:PD。2021-4 外院支气管镜病理:低分化癌,神经内分泌癌不能除外(组织少),PD-L1 22C3<1%。
诊疗经过
【基本情况】
既往病史:糖尿病病史10余年,冠心病病史5年。
家族史:无。
诊断:直肠恶性肿瘤(腺癌,伴神经内分泌癌可能)rpTxNxM1 (肺, 盆腔) IV期 ECOG 1分;2型糖尿病;冠心病 。
【姑息三线治疗】
2021-6-11至2021-9 我院姑息三线治疗:呋喹替尼 4mg po d1-21 q4w。
2021-9-28 外院ctDNA:TMB-L、MSS。
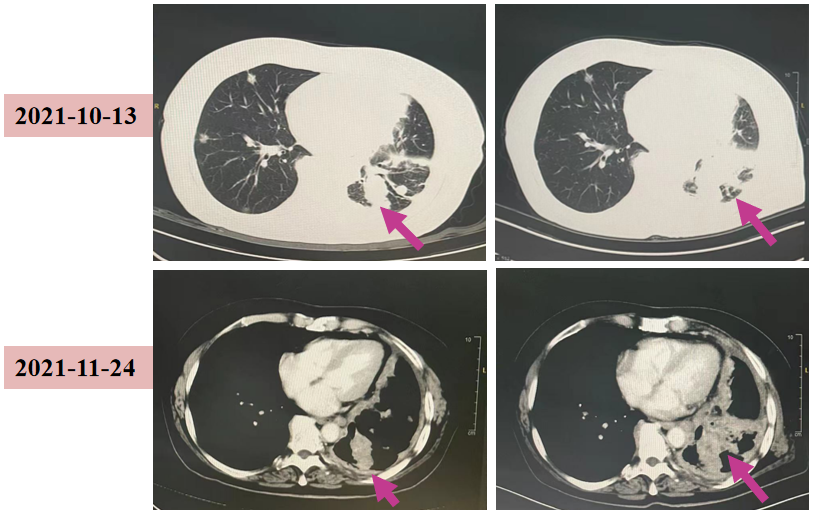
2021-10-13 我院胸部CT:两肺多发结节及团片影,部分较前(2021-5-24)增大,增多;评估:PD。

【姑息四线治疗】
2021-10-13 我院姑息四线治疗:PE0116-I期临床研究(免疫激活类药物)。
不良事件:4级血小板下降;4级粒细胞减少;消化道出血。处理:禁食、抑酸补液、升血小板升白、免疫球蛋白、激素对症支持。转归:好转。
2021-11-24 我院胸部CT:两肺多发结节及团片影,左下肺团片较前增大;评估:PD。

治疗经过


日本BiTS研究

患者基线特征

生存结果良好

安全性良好

TAS-102+Bev 三线治疗,使PS 0/1患者获得4个月以上的PFS

【姑息五线治疗】
2021-11-27 我院姑息五线治疗:贝伐珠单抗 300mg(5mg/kg )+曲氟尿苷替匹嘧啶(TAS-102)30mg bid d1-5 q2w。


*本文仅代表专家观点,并经专家审校。