
为了响应《“健康中国2030”规划纲要》,实现我国全民消化肿瘤早诊早治,《肿瘤界》设立“齐力荟聚-消化肿瘤频道”,聚焦消化肿瘤患者的诊断治疗。旨在报道国内前瞻性、创新性和高学术水平的关于消化道肿瘤防治的临床应用和基础研究,把握学术发展动向,促进学术交流,整体提高国内消化肿瘤防治的临床与研究水平,结合国内研究特色,以及国内临床规范制度,推动消化肿瘤防治的进步,普及推广临床规范化诊疗。
专家访谈
简介

赵海涛 教授
北京协和医院肝脏外科
中国医学科学院北京协和医院肝脏外科,主任医师、博士生导师。
学术兼职:中国临床肿瘤学会( CSCO) 肝癌专家委员会常务委员 ;中国微循环学会肝脏专业委员会秘书长及副主任委员 ;北京大学校友会理事 ;欧美同学会医师协会副秘书长 ;欧美同学会医师协会青委会主委 ;欧美同学会医师协会肝胆分会秘书长、副主委 ;科技部重大项目评审专家 ;国家药品监督管理局医疗器械审评专家;HBSN(SCI 收录IF: 7.293)杂志副主编 ;WJG(SCI 收录IF: 5.742)杂志编委 ;中国社会福利基金会-肿瘤精准免疫治疗公益基金创始人 ;国家“万人计划”专家(领军人才)。
主持国家级、省部级基金项目共15项,以通讯作者发表SCI学术论文127篇, 总影响因子1066分, 总他引次数超过5300次,H-index 35。
Q01:原发性肝癌(以下简称肝癌)位居我国恶性肿瘤发病率的第 4位、死亡率的第 2 位,总体的五年生存率仅为 12.1%,是严重威胁人民生命和健康的重大疾病。2020 年,中国新发肝癌约 41 万人,占全球肝癌新增病例数的 45.3%。针对这一现状请您谈谈肝癌应该如何防治?
原发性肝癌是目前我国第4位常见恶性肿瘤,及第2位肿瘤致死病因,严重威胁我国人民的生命和健康。提升原发性肝癌患者的诊疗现状,是我们作为该领域医生责无旁贷的任务。近年来,随着领域医生们的共同努力,原发性肝癌诊疗整体状况已经得到了极大改善。但仍需进一步促进在该领域开展更加深入的、有创新的探讨,推动我国肝癌领域学科发展、人才培养,提升中国肝脏肿瘤领域防治的整体科研及诊疗能力。从而为肝癌患者提供更多可选的、疗效可靠的治疗方案,丰富肝肿瘤领域的治疗手段,进而延长患者生存并改善生活质量。
我们从近几年原发性肝癌的诊疗情况来看:
一方面,大量科普宣传工作,让大家科学地认识了乙肝,乙肝并不是通过消化道、呼吸道传播的,这破除了乙肝歧视,使乙肝患者不再抗拒定期复查,实现了早诊、早筛;另一方面,酒精肝、丙肝等慢性肝炎患者在35岁或40岁以后定期筛查,可以在肝癌早期得到诊断。国家卫健委大力倡导的早诊、早筛这套防御系统,可以有效的起到作用,使患者早发现、早治疗,从而提升患者诊疗。
另一方面,目前我国乙肝控制得非常好。乙肝疫苗得到广泛普及,乙肝所导致的肝癌的发病率逐渐降低,现有统计分析显示,乙肝导致的肝癌占比越来越少,现在更多的是存量乙肝患者发病。
再来看肝癌的治疗,目前外科手术仍是最主要的根治性手段,临床专家们在外科技术上精益求精,不断进取。与此同时,近 10 余年来,以靶向治疗药物为基础的系统治疗取得显著进步。其中以新型靶向治疗药物仑伐替尼为例,在真实世界研究中已体现出对中国肝癌患者总生存期有利的趋势,为我国肝癌患者带来新的希望。随着国产仑伐替尼获批进入中国,能更好的惠及肝癌患者,也是肝癌领域的重要突破。
Q02:目前,肝癌治疗获批的靶向药物都是以抗血管生成为靶点的,那么根据您的经验,肝癌患者是否有必要做基因检测?
目前原发性肝细胞癌治疗,获批药物均为泛靶向药。基因检测在已经获批的肝癌靶向药物中,根据现有经验,线索较少,比如索拉非尼、仑伐替尼、多纳非尼等,事实上基因检测在选择此类药物时没有太大帮助。
由于目前肝癌的二线和部分一线治疗,(如:T+A方案)有做过免疫治疗的选择,所以我们不主张把基因检测做为必要条件,可以在患者经济条件允许或临床试验开展情况下作为辅助标准。
基因检测在挑选PD-1受益患者人群时,能够起到一定作用,但限于已经获批的指南(如:一线的T+A方案、二线的PD-1方案等),没有特别提示需要做基因检测,所以目前临床治疗过程中,患者一般不需要做基因检测。但针对有特殊需求或科研项目时,基因检测也可以有效的帮助患者提升治疗。
Q03:结合目前的诊疗现状,手术切除和肝移植是唯一可能治愈的机会,但适用性有限。针对晚期不可切除肝癌药物治疗现状,近年来取得了哪些进展?
近年来,在原发性肝细胞癌治疗上,有一些跨时代的进展。
首先来看靶向治疗方面,如索拉非尼、仑伐替尼等的获批,取得了跨时代的进步。仑伐替尼相较于索拉非尼是做了非劣效性试验的,ORR效果更好,可达18.8%,约有1/5的患者在短期内能够看到肿瘤缩小,这是一个显著的进展,OS也可达13.6个月。
已获批的单靶药物多纳非尼,虽然ORR不是很高,但OS相较于索拉非尼获得优效的结果。
针对中国晚期肝癌患者,仑伐替尼可提高总生存期(15.0个月 VS 10.2个月),降低50%的死亡风险。仑伐替尼具有抑制血管生成和肿瘤细胞增殖双重抗瘤机制,被众多权威指南一致推荐用于晚期肝细胞癌的一线治疗。同时,仑伐替尼联合免疫检查点抑制剂的联合方案在临床应用广泛,具有显著生存获益,且不增加不良事件发生风险。
再来说说在肿瘤治疗领域发展如火如荼的免疫治疗。近年来,免疫治疗原发性肝细胞癌也获批了两个一线方案,“T+A和靶向联合抗血管生成类药物”,ORR可达27%,OS可达到21个月~23个月。以及国产双达组合(PD-1联合贝伐珠单抗类药物)用于一线治疗,ORR可达20%以上,OS可达到20个月以上。所以肝癌的一线治疗进展非常丰富。
目前还有一些正在进行的临床试验,取得的数据也非常好。比如“可乐”组合、双艾组合,“可乐”组合ORR可达36%,双艾组合ORR可达34%,OS在20个月以上。
综上来看,近两年晚期不可切除肝癌患者的一线治疗,有非常丰富的治疗选择。结合目前临床研究,相信陆续还会获批很多组合。同时,在二线治疗方面,目前的PD-1方案,结合临床实践,也能够在患者长期获益中起到很大作用。
所以总体来看,在各方同道的共同努力下,目前肝癌治疗进展有非常多的突破,患者的整体疗效在不断提升。
Q04:从目前的研究和实践来看,手术治疗、TACE、消融治疗、靶向治疗构成晚期肝癌的主体治疗格局,免疫肿瘤治疗在临床研究与全球实践中也显示了较好的疗效,你如何看待未来肝癌治疗的前景?
对于未来的免疫肿瘤治疗,我们称之为“免疫治疗3.0”,是以免疫为基础的系统治疗与局部治疗的组合。在免疫治疗出现前,能看到局部治疗、TACE、HAIC、射频及放疗等都有一定的临床疗效,为患者实现降期或无瘤生存。
随着靶向药物不断获批丰富后,免疫+靶向组合ORR可达30%~50%,OS大于20个月,有效率较高。
展望发展方向,如果免疫治疗配合局部治疗、手术、介入、射频、HAIC治疗等,在免疫治疗的加持下,或许可以逐渐把晚期肝癌患者从不可切除转变为可切除,增加治愈机会。在有些情况下,即使不做切除也可实现无瘤生存,如广泛转移的患者,如果系统治疗有效,辅以多种局部治疗手段,可以实现无瘤化处理,提高长期生存获益。即使做不到无瘤生存,也可延长患者的生存期,从我们中心的数据显示,免疫治疗3.0无论从PFS还是OS来看,都优于单纯的免疫与系统治疗组合(免疫治疗2.0),使转化手术及无瘤生存率大幅提高。
将来,肝癌治疗会是立体模式,模式的核心是基于免疫增强后,再通过局部治疗来唤醒更多免疫,杀灭更多肿瘤,达到1+1+1>3的结果,有望使得更多晚期肿瘤患者做到无瘤化生存(NED)或将大大延长患者生存期,希望未来能有更多试验和数据来实现。
病例分享
简介

杨晓波 教授
北京协和医院肝脏外科
中国医学科学院北京协和医院肝脏外科,主治医师(已获卫健委副主任医师资格)
学术兼职:欧美同学会医师协会肝胆分会委员;青年工作委员会委员;中国微循环学会肝脏专业委员会副秘书长。
擅长肝胆恶性肿瘤综合治疗、腹腔镜手术治疗等,主要研究方向为肝胆恶性肿瘤靶向免疫治疗、肝胆恶性肿瘤发病机制基础研究,主持北京市自然科学基金项目等省部级项目3项。
基本情况
基本信息:女 ,64岁,身高:167cm ,体重:70Kg
主诉:间断腹痛7月,检查发现肝占位1月。
既往史、个人史:高血压病史10余年,右下肢静脉曲张病史。
家族史:无特殊
初诊病史
患者因间断腹痛7月就诊,腹部超声提示肝占位,腹部增强CT提示肝左叶多发占位,伴门脉左支癌栓;胸部CT提示双肺多发结节灶,考虑为转移瘤。间断腹痛,主要为上腹及脐周偏左隐痛。
体格检查:巩膜无明显黄染,左上腹轻压痛。
辅助检查:
AFP(2022-10):大于60500 ng/ml
Child-Pugh A(5)
腹部超声(2020年9月):肝左叶及右前下叶各一低回声,大小分别为11.6cm×8.0cm×7.5cm及5.6cm×3.8cm,内部回声不均,周边及内部均可见条状血流信号。
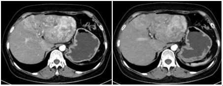
腹部增强CT(2020年9月):肝左叶巨大占位,考虑为肝细胞肝癌并门脉左支瘤栓可能。
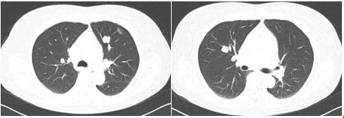
胸部低剂量CT(2020年9月):双肺多发大小不等的结节灶,最大者长径约1.9cm,考虑为转移瘤可能。

图示:腹部增强CT(2020年9月)

图示:胸部低剂量CT(2020年9月)
治疗方案
患者诊断原发性肝癌伴门脉左支瘤栓,伴双肺多发转移(BCLC IIIb期),无法行根治性手术,建议行综合治疗(靶向治疗+介入治疗+免疫治疗)。
自2020-10-14口服仑伐替尼 8mgQD;2020-10-28行经肝动脉栓塞术(TACE);2020-10-29/11-20/12-11分别行3次免疫治疗(卡瑞利珠单抗 200mg 静脉注射);于2020年12月进行评估,复查AFP 7103 ng/ml,胸部CT提示双肺转移灶明显缩小,腹部增强CT提示肝占位较前局限、缩小。
于2021-1-5对该患者行腹腔镜下左半肝切除,术后1.5月AFP降至正常(2021-2-22 AFP 14 ng/ml),目前无瘤生存13个月。

疗效评估
患者发现确诊时已出现双肺多发转移,BCLC IIIb期,无法行根治性手术,选择免疫立体治疗3.0方案(靶向治疗+介入治疗+免疫治疗)进行转化。最终转化成功,完成了左半肝切除,患者顺利出院。此例患者确诊时伴肝外转移,采用“免疫立体治疗3.0”的策略获得了手术机会,在手术安全性和肿瘤学上均取得满意结果。
*本文仅代表专家观点,并经专家审校。