您当前的位置:首页 > 学科资讯 > 详情
从痰中带血到肿瘤完全消失!一位30年烟龄患者的肺癌救治纪实
浏览量:17     发布者:肿瘤界     时间:2026-04-07

55岁的男性患者,有长达30年吸烟史,平均每天1包烟。3天前,他突然出现痰中带血的症状,在家人陪同下前来就诊。


图片

病情凶险

肿瘤紧贴肺门、侵犯肺动脉



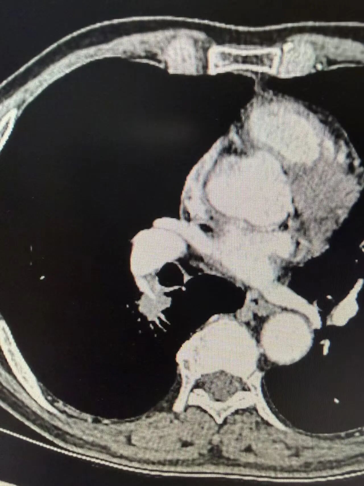
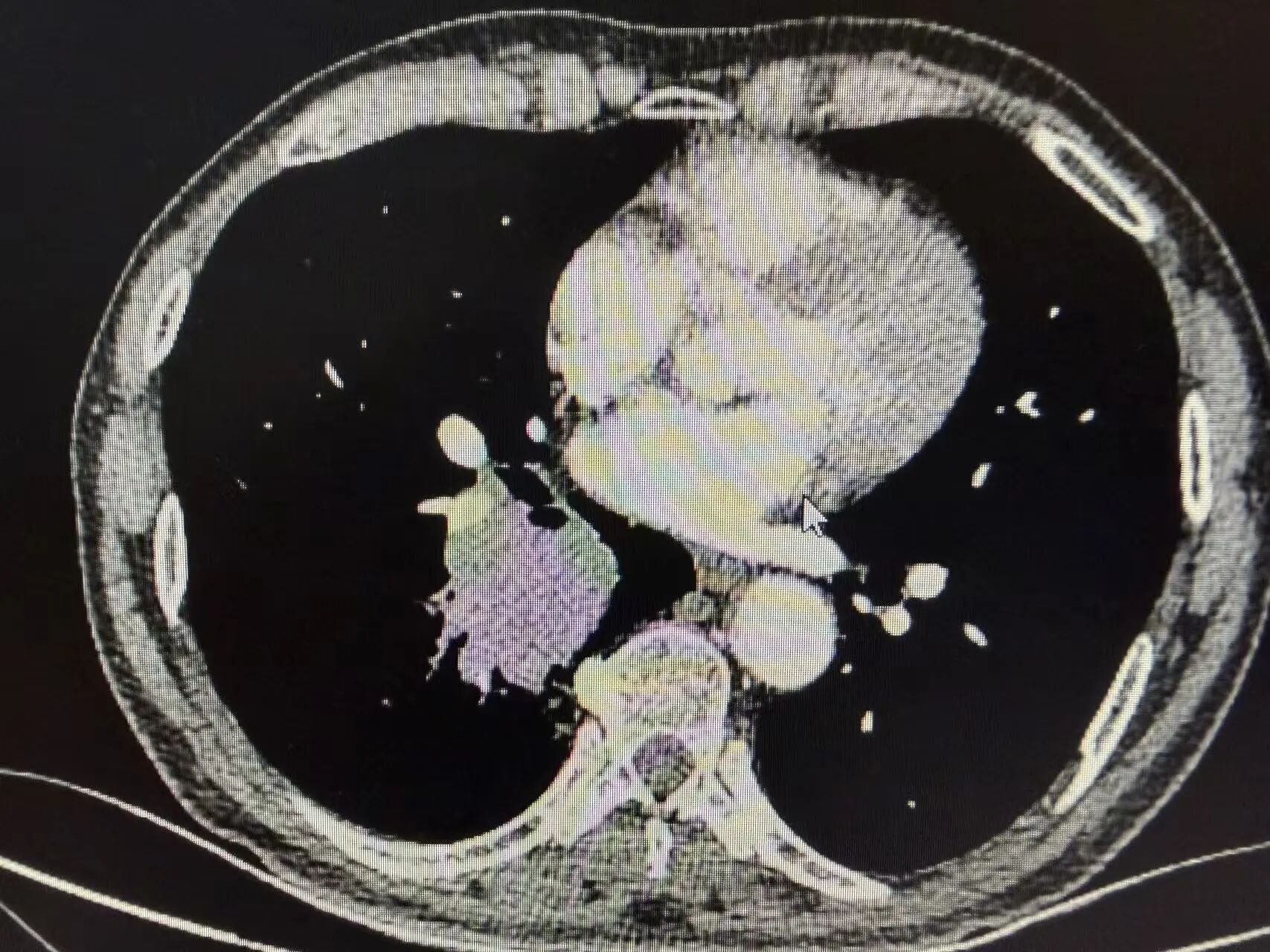
入院后完善相关检查:

胸部CT:提示右下肺占位,病灶位置靠近肺门,已侵犯肺动脉,直接手术难度大、风险高。

支气管镜检查:见右下肺背段支气管内膜粗糙,活检病理确诊为肺鳞状细胞癌


2-1.jpg
2-2.jpg

治疗前胸片可见右肺门区域明显占位阴影,肿瘤体积较大,位置深、靠近中心大血管


面对这一局部晚期病情,科室团队经过综合评估,没有急于手术,而是制定了先药物治疗、再手术切除的个体化方案。



图片

新辅助治疗

免疫+化疗为手术创造机会


结合患者肿瘤位置、病理类型及血管侵犯情况,我们为患者实施了免疫治疗联合化疗,共2个周期的新辅助治疗。


治疗的目标很明确

让肿瘤缩小、降期

减轻血管侵犯程度

提高手术根治概率


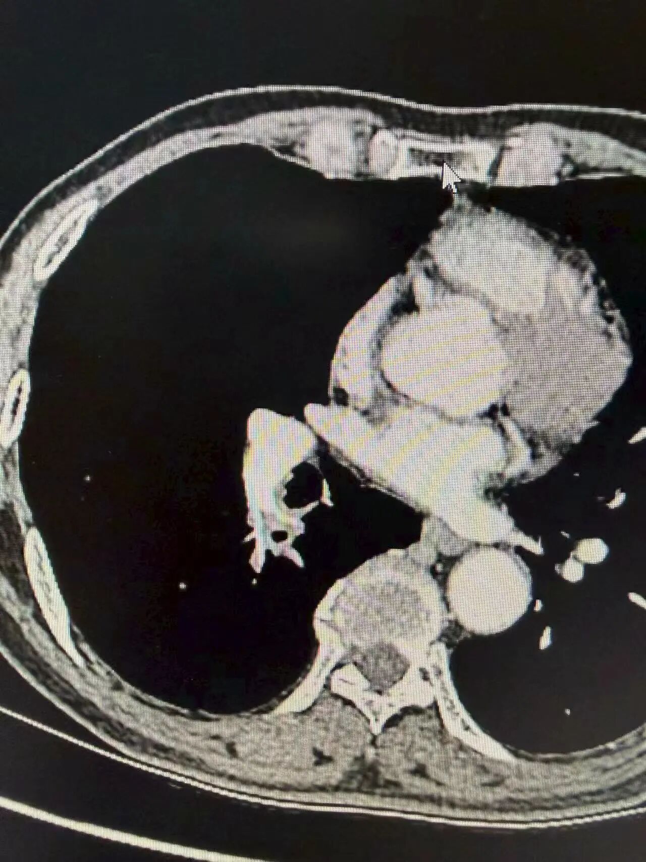
经过规范治疗后复查,效果十分显著:


2-3.jpg
2-4.jpg

经免疫联合化疗后,胸片上原右肺门占位明显缩小,阴影范围显著减小,肿瘤与周围血管界限变得清晰



图片

微创手术

单孔胸腔镜精准切除病灶


肿瘤明显退缩、手术条件明显改善后,我们为患者实施了单孔胸腔镜下右中下肺叶切除术

手术仅通过胸部一个小切口完成,创伤小、出血少、恢复快,术中顺利完整切除病变肺叶。


2-5.jpg

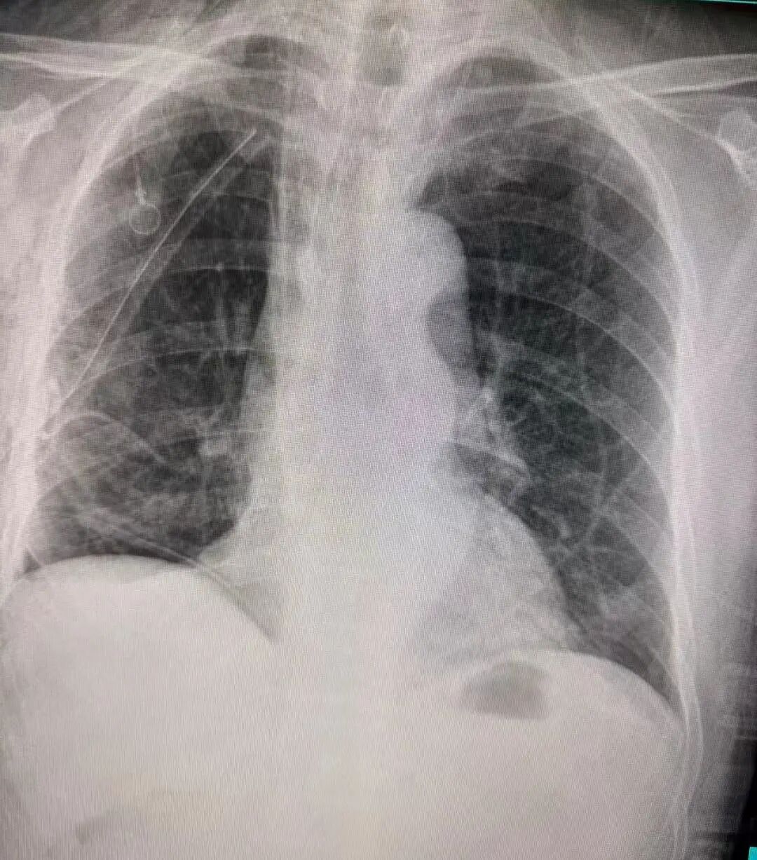
术后胸片显示右中下肺叶已切除,胸腔形态规整

引流管位置良好,肺部复张情况理想


术后患者恢复顺利,疼痛轻、下床活动早,顺利康复出院。



图片

病理“满分”结果

肿瘤达到完全病理缓解


最令人振奋的是术后最终病理回报:病灶区域未见存活肿瘤细胞,达到肿瘤完全病理缓解(CPR)


2-6.jpg

术后病理提示,原肿瘤部位仅见坏死、纤维化及炎性改变,无残留癌细胞,新辅助治疗效果达到最佳



图片

医生有话说


  • 长期大量吸烟是肺癌重要危险因素,30年烟龄、每日一包,属于极高危人群。

  • 痰中带血千万不要忽视,往往是肺部肿瘤的重要警示信号

  • 对于靠近肺门、侵犯血管的局部晚期肺癌,“新辅助治疗+手术”已成为标准、高效的治疗模式,能显著提升根治机会。

  • 微创胸腔镜手术创伤小、恢复快,让更多患者能安全度过围手术期



这例患者的成功救治,再次印证:即使是病情复杂的局部晚期肺癌,只要规范诊疗、精准施策,依然可以实现极佳的治疗效果,重获健康生活。




MDT领衔专家

1-8.png

胡学飞 教授

上海市肺科医院

主任医师  

医学博士

博士生导师

  • 上海医务工匠

  • 上海市医师协会医学机器人专委会胸心外科委员

  • 上海市医学会胸外科分会青委兼秘书

  • 上海市医学会肿瘤靶分子专委会青委委员

  • 上海医药行业协会规范化诊治专业委员会委员

  • 上海市医师协会胸外科医师分会纵膈外科工作组副组长

  • 中国医师协会胸外科医师定期考核工作委员会委员

  • 中国临床肿瘤学会微创外科专委会委员

  • 中华医学会结核分会胸外科专委会委员

  • 中国医药教育协会医疗机器人分会常委

  • 中国医药教育协会智能医学专业委员会胸部肿瘤精准与智能诊疗分会常委

  • 欧洲胸外科协会会员(ESTS)

  • 《中华胸心血管外科杂志》青年编委

  • 上海市申康中心岗位能手

  • 上海市青年五四奖章

  • 日喀则人民医院最佳援藏干部

  • 上海市肺科医院优秀医师奖 优秀党员

  • 上海市第三十五届优秀发明选拔赛 优秀发明金奖

  • 主持国自然面上项目1项、省部级课题5项,2项国家科技重大项目子课题负责人;发表论文50余篇,其中SCI论文40余篇;参编专著5部 

  • 年主刀手术量2000台,长期致力于局晚肺癌多学科综合治疗

  • 2021大中华胸腔镜菁英赛肺段组上海、华东、全国第一名



MDT门诊

  • 预约方式:通过“上海市肺科医院”公众号“预约挂号”进行预约

  • 时间:每周五上午

  • 地址:上海市杨浦区政民路507号门诊楼





来源:SPH-局部晚期NSCLC-MDT