您当前的位置:首页 > 学科资讯 > 详情
从“拳头大阴影”到“无癌细胞残留”:68岁老人的肺癌诊疗逆袭
浏览量:20     发布者:肿瘤界     时间:2026-04-06

局部晚期肺癌诊疗病例

案例主人公:68岁男性患者 老张(化名)

确诊时间:4个月前

诊断结果:左上肺鳞状细胞癌(局部晚期,左上肺占位,左肺门淋巴结肿大)

突发警报

咳嗽带血,查出局部晚期肺癌


4个月前,一向身体硬朗的老张频繁咳嗽,起初以为是换季感冒,并未在意。直到痰中反复出现血丝,他才意识到情况不对,在家人陪同下前往上海市肺科医院就诊。


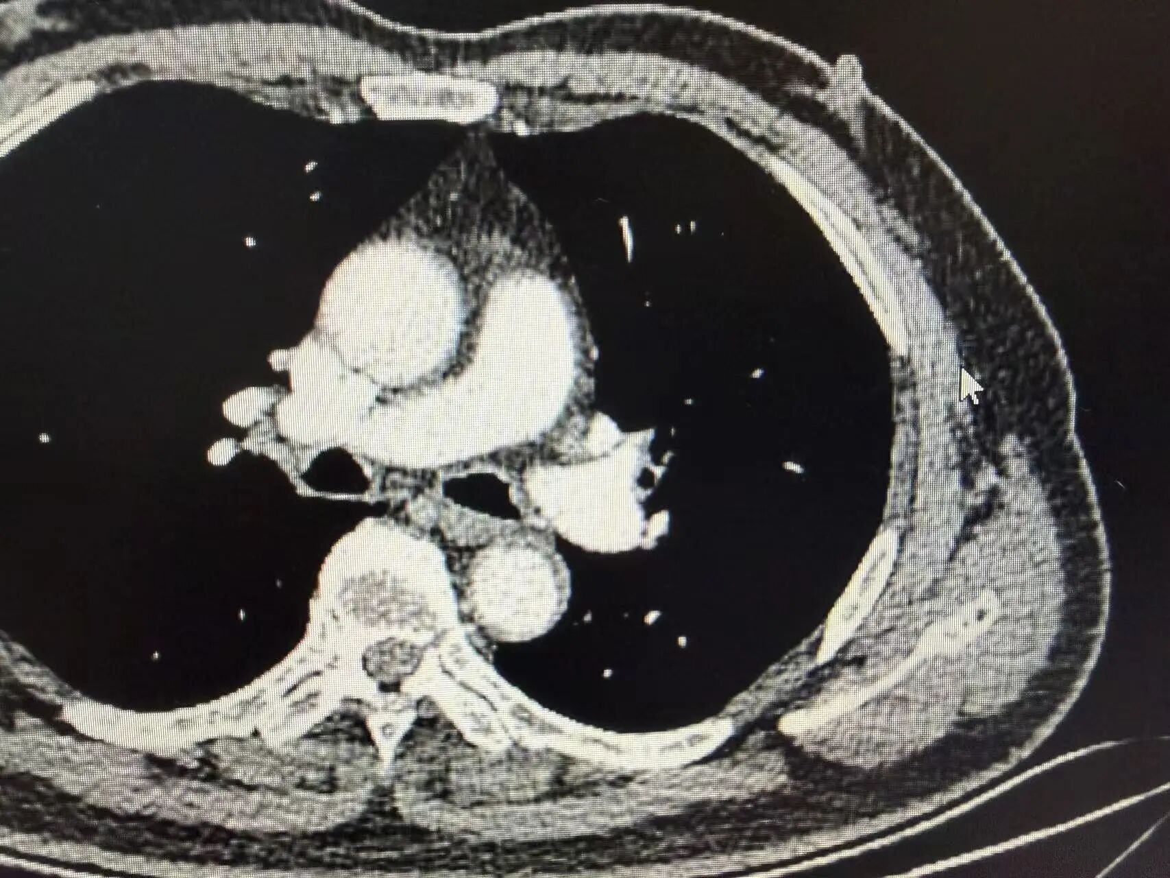
胸部增强CT结果显示:左上肺可见明显占位性病变,体积较大,同侧肺门淋巴结伴随肿大。后续穿刺病理活检明确诊断为肺鳞状细胞癌,结合淋巴结转移情况,分期为局部晚期(Ⅲa期)


按照传统诊疗思路,这类局部晚期肿瘤,直接手术难以完整切除,术后复发与转移风险极高。得知诊断结果时,一家人陷入巨大的焦虑与恐慌。


1-1.jpg
1-2.jpg

新辅助治疗前CT影像



精准策略

先“降期缩瘤”,再手术根治


面对病情,胡学飞主任团队并未急于安排手术,而是制定了术前新辅助治疗方案,这也是当前局部晚期肺癌的规范化前沿治疗策略。


医生通俗解释:

新辅助治疗,就是在手术切除前,先通过化疗联合免疫治疗对肿瘤进行“精准打击”。化疗可快速抑制、杀伤增殖活跃的肿瘤细胞,实现快速缩瘤;免疫治疗则激活患者自身免疫系统,让免疫细胞精准识别并清除癌细胞,相当于先“扫清主力、瓦解病灶”,再通过手术彻底清除残余组织,既降低手术难度,又提升根治概率。


老张与家人充分沟通后,接受了这一个体化治疗方案。



疗效显著

肿瘤大幅退缩,术后病理无癌残留


经过化疗联合免疫新辅助治疗后,老张咳嗽、痰中带血的症状完全消失,体力与精神状态明显好转。


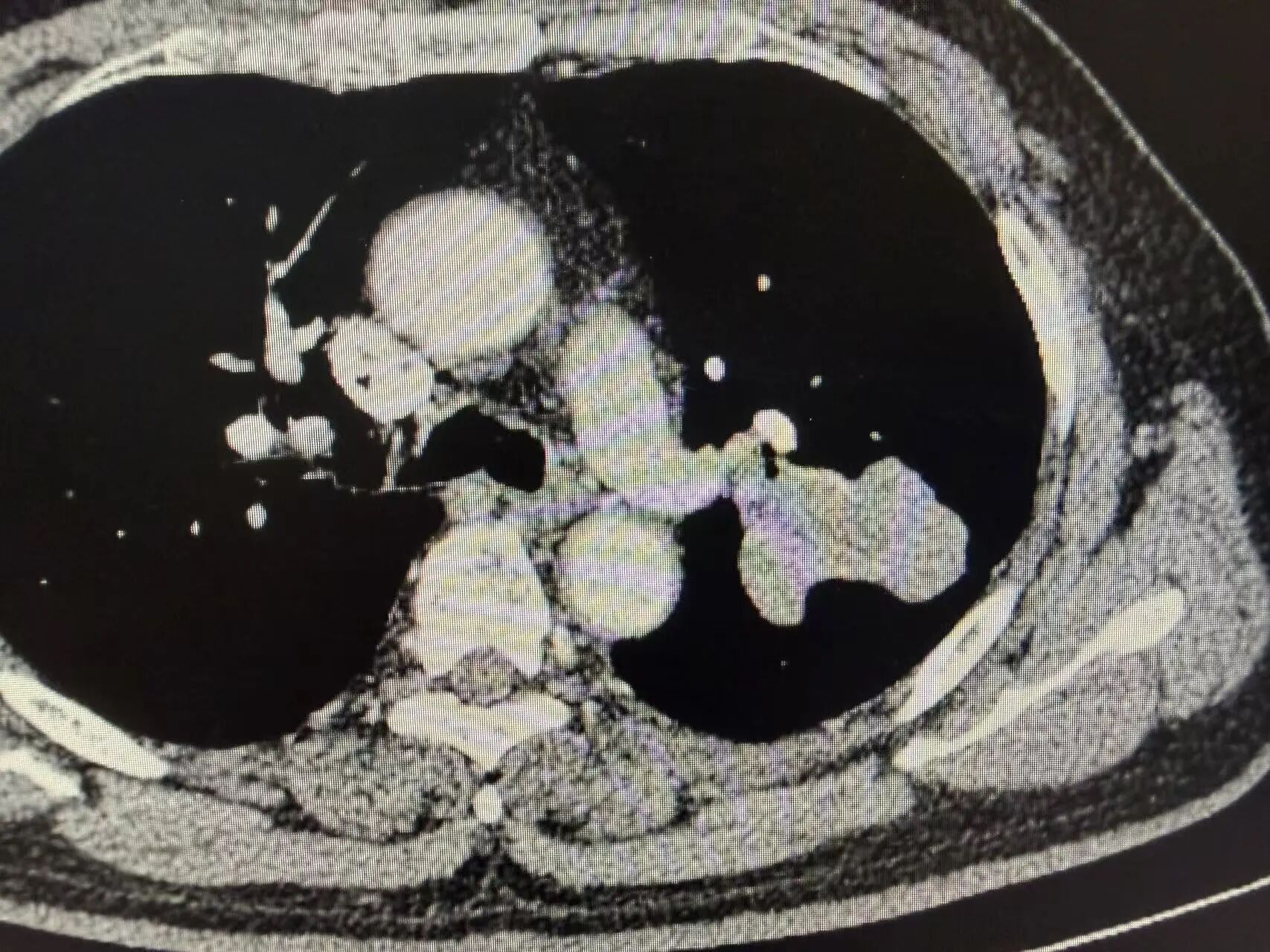
复查胸部CT显示:原左上肺肿瘤病灶显著缩小,肿大的肺门淋巴结基本恢复正常大小,肿瘤评估达到显著临床缓解,手术时机成熟


1-3.jpg
1-4.jpg

新辅助治疗后CT影像


随后,胡学飞主任团队为老张实施单孔胸腔镜左肺上叶切除术,仅在胸壁做3~4厘米微小切口,通过微创器械完成病灶切除,创伤小、出血少、术后恢复更快。


1-5.jpg

术中快速冰冻病理报告


而病理结果提示:切除的肺组织及清扫淋巴结内,未见明确存活癌细胞。


这一结果在医学上被称为病理学完全缓解(pCR),是肺癌术前治疗中最理想的疗效终点。



科普解读

教科书级案例,刷新肺癌治疗认知


老张的诊疗过程,完美诠释了现代局部晚期肺癌的规范化综合治疗理念,也为同类患者带来重要启示:


新辅助治疗+微创手术 是局部晚期肺癌的“黄金组合”

化疗快速缩瘤、免疫治疗持久控癌、微创手术低创清除,三者协同作用,既解决了直接手术切不干净的难题,又最大程度保护患者身体机能,显著提升根治概率。


病理学完全缓解(pCR)意味着什么?

病理学完全缓解,是实体瘤疗效评估的金标准,代表切除标本中显微镜下无存活癌细胞

达到pCR的患者,复发风险大幅降低,长期生存预后显著优于未达标患者,部分患者术后仅需定期随访,无需额外辅助化疗。


局部晚期肺癌≠绝症

很多人认为Ⅲ期肺癌已是晚期、无治愈希望,老张的案例充分证明:

通过新辅助化疗+免疫的精准诱导治疗,配合规范微创手术,相当一部分局部晚期肺癌患者可实现显著降期,甚至达到病理学完全缓解,获得长期生存乃至临床治愈的机会。



医生寄语


老张的成功,得益于新辅助治疗的精准应用、免疫药物的规范使用以及微创手术的完美实施。更重要的是,患者未因恐惧放弃规范诊疗


面对肺癌,早筛查、早诊断、选择个体化综合治疗是关键。即便确诊局部晚期,通过多学科“组合拳”治疗,依然有机会实现根治、重获新生




MDT领衔专家

1-8.png

胡学飞 教授

上海市肺科医院

主任医师

医学博士

博士生导师

  • 上海医务工匠

  • 上海市医师协会医学机器人专委会胸心外科委员

  • 上海市医学会胸外科分会青委兼秘书

  • 上海市医学会肿瘤靶分子专委会青委委员

  • 上海医药行业协会规范化诊治专业委员会委员

  • 上海市医师协会胸外科医师分会纵膈外科工作组副组长

  • 中国医师协会胸外科医师定期考核工作委员会委员

  • 中国临床肿瘤学会微创外科专委会委员

  • 中华医学会结核分会胸外科专委会委员

  • 中国医药教育协会医疗机器人分会常委

  • 中国医药教育协会智能医学专业委员会胸部肿瘤精准与智能诊疗分会常委

  • 欧洲胸外科协会会员(ESTS)

  • 《中华胸心血管外科杂志》青年编委

  • 上海市申康中心岗位能手

  • 上海市青年五四奖章

  • 日喀则人民医院最佳援藏干部

  • 上海市肺科医院优秀医师奖 优秀党员

  • 上海市第三十五届优秀发明选拔赛 优秀发明金奖

  • 主持国自然面上项目1项、省部级课题5项,2项国家科技重大项目子课题负责人;发表论文50余篇,其中SCI论文40余篇;参编专著5部 

  • 年主刀手术量2000台,长期致力于局晚肺癌多学科综合治疗

  • 2021大中华胸腔镜菁英赛肺段组上海、华东、全国第一名



MDT门诊

  • 预约方式:通过“上海市肺科医院”公众号“预约挂号”进行预约

  • 时间:每周五上午

  • 地址:上海市杨浦区政民路507号门诊楼




来源:SPH-局部晚期NSCLC-MDT