57岁的王叔(化名),因持续一周的咳嗽、胸痛症状迟迟未缓解,来到医院就诊检查。经过CT检查,一份沉重的诊断结果摆在了他和家人面前——左上肺中央型占位,高度怀疑肺癌,一场与癌症的较量,就此拉开序幕。
“中央型肺癌”,这五个字背后,藏着常人难以想象的凶险:肿瘤恰好长在肺门最核心的位置,像盘根错节的“树根”,紧紧缠绕着支气管和肺动脉这两大“生命命脉”。放在过去,面对这样的局部晚期病情,不少外科医生都会无奈摇头:肿瘤侵犯范围广、手术视野狭窄,稍有不慎就会损伤血管或支气管,不仅手术难度拉满,风险更是高到难以把控。
难道,王叔的人生,就要这样被癌症宣判“死刑”吗?
第一关
精准“降维打击”,让“顽固敌人”缩小退缩
进一步的病理诊断结果明确:王叔患上的是鳞状细胞癌。气管镜检查下,能清晰看到左侧支气管管口被新生物堵塞,肿瘤牢牢“盘踞”在左上肺根部。如果贸然开刀,不仅要切除整个左肺,甚至可能因为肿瘤与血管、支气管粘连过紧,无法实现根治性切除,反而会给患者带来更大的创伤。

支气管镜下可见左上叶支气管口新生物
面对这一困境,胸外科团队没有贸然行动,而是拿出了现代肺癌治疗的“王牌利器”——新辅助治疗,为王叔制定了个性化的免疫治疗联合化疗方案。
很多人误以为,查出肺癌就该“一刀切”,但对于局部晚期肺癌患者,“先治疗、后手术”的思路,往往能带来更好的治疗效果。这场术前的“精准打击”,核心目的只有一个:
缩小肿瘤——通过全身治疗,让原本紧紧包裹血管、支气管的肿瘤逐渐退缩、松动,为后续手术打通“通道”,创造可手术的条件。
几个周期的治疗结束后,复查CT的结果传来了好消息:肿瘤明显缩小,原本粘连的血管也逐渐松动!这意味着,王叔终于获得了宝贵的手术机会,曾经的“不可切”,如今变成了“可切”。


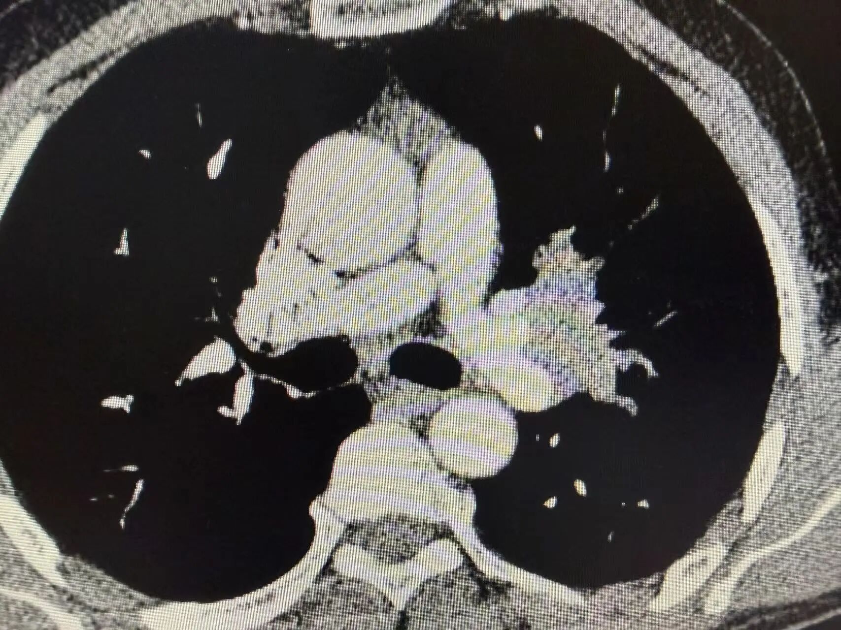
新辅助治疗前CT:可见左上肺中央型占位,肿瘤侵犯血管


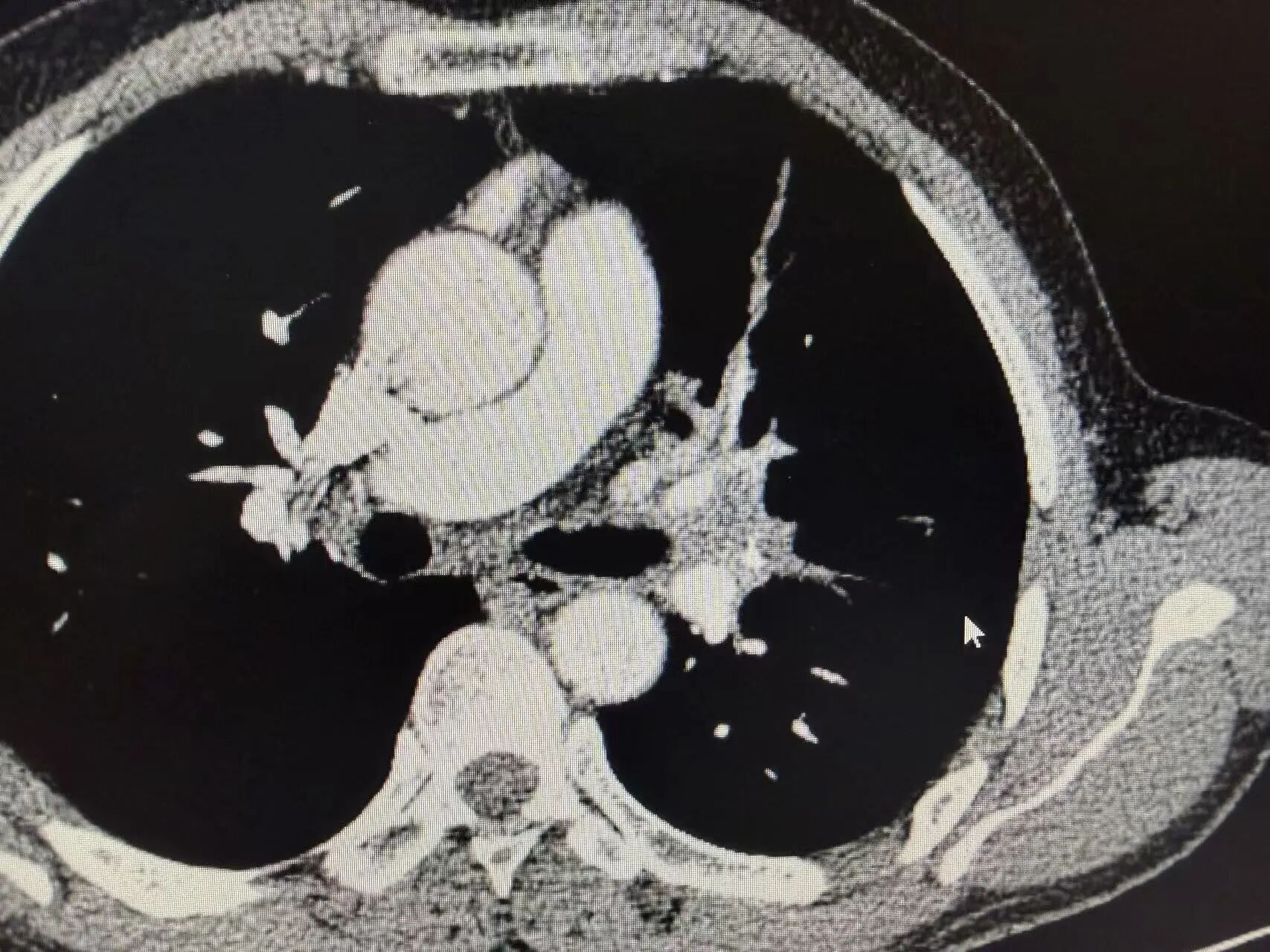
新辅助治疗后CT:肿瘤明显缩小
第二关
挑战“皇冠手术”,袖式重建留住健康肺组织
肿瘤缩小了,但考验并未结束——它的位置依然刁钻,牢牢扎根在左上肺叶的根部,一边是左上肺支气管的“总开关”,一边是向肺部输送血液的“生命主干道”——肺动脉,稍有不慎,就可能引发致命风险。
按照传统手术思路,为了彻底切除肿瘤,只能选择左全肺切除术。虽然能达到根治目的,但失去一整个肺后,患者的心肺功能、活动能力都会大幅下降,术后生活质量会受到严重影响。
“治病不能只看疗效,更要兼顾患者的生活质量。”为了给王叔保留更多健康的肺组织,胡学飞主任团队经过反复研讨,决定挑战胸外科领域的“皇冠级手术”——支气管袖式切除+肺动脉成形术。
很多读者可能对这两种手术感到陌生,我们用最通俗的比喻,帮大家读懂其中的精妙:
支气管袖式切除
像裁缝修袖子一样“精准剪裁”
我们的支气管,就像一件衣服的袖子,而肿瘤,就长在“袖口”关键位置。医生会像裁缝剪袖子一样,精准截断长有肿瘤的那段支气管,切除病变的左上肺叶,再将剩下的左主支气管与左下肺支气管,像缝衣服一样精细缝合、重新对接。这样一来,既彻底切掉了病灶,又保住了健康的左下肺,实现“根治+保肺”的双重目标。
肺动脉成型
像修补衣物一样“缝合血管”
肺动脉是心脏向肺部输送血液的核心血管,由于肿瘤离血管过近,要彻底切除病灶,就需要切除部分受侵犯的血管壁。医生会像巧手裁缝修补衣物破损处一样,用精细的缝线,将血管缺口小心翼翼缝合,既保证了血管通畅,避免大出血,又成功避免了全肺切除的创伤。
这两项技术的结合,不仅考验医生的精准操作能力,更考验团队的默契配合,是胸外科手术技术的顶峰体现。
第三关
单孔微创“绣花”,4厘米小孔完成“拆弹”之战
更令人惊叹的是,这样一台复杂到极致的重建手术,竟然是通过单孔胸腔镜完成的——没有长长的手术切口,没有断裂的肋骨,只有一个约4厘米的小孔,就完成了这场“拆弹”之战。
放在以往,这种级别的高难度重建手术,往往需要开胸操作:切口长达20-30厘米,还要切断肋骨,不仅创伤大,患者术后疼痛剧烈,恢复周期也很长。而这一次,医生仅在王叔的胸壁上,切开一个小孔,这也是手术唯一的“入口”。
摄像头、超声刀、持针器……所有精密器械,都通过这个唯一的“钥匙孔”进入胸腔。手术台上,医生盯着高清屏幕,操控着纤细的器械,在跳动的心脏、搏动的肺动脉旁,避开每一根血管和神经,一针一线地完成支气管吻合,一丝一毫地修补血管破损处。
这早已超越了单纯的手术操作,更像是一场在胸腔内进行的“绣花功夫”——精准、细致、毫厘不差。
手术最终顺利完成:单孔胸腔镜下左肺上叶切除术+支气管袖式吻合+肺动脉成形术,一场难度拉满的“拆弹”任务,圆满落幕。
术后的王叔,恢复速度远超预期。因为没有切断肌肉和肋骨,他的疼痛感大幅减轻,术后第二天就能下床活动、自主进食;复查结果显示,保留下来的肺叶膨胀良好,血管通畅,各项指标都在稳步恢复。

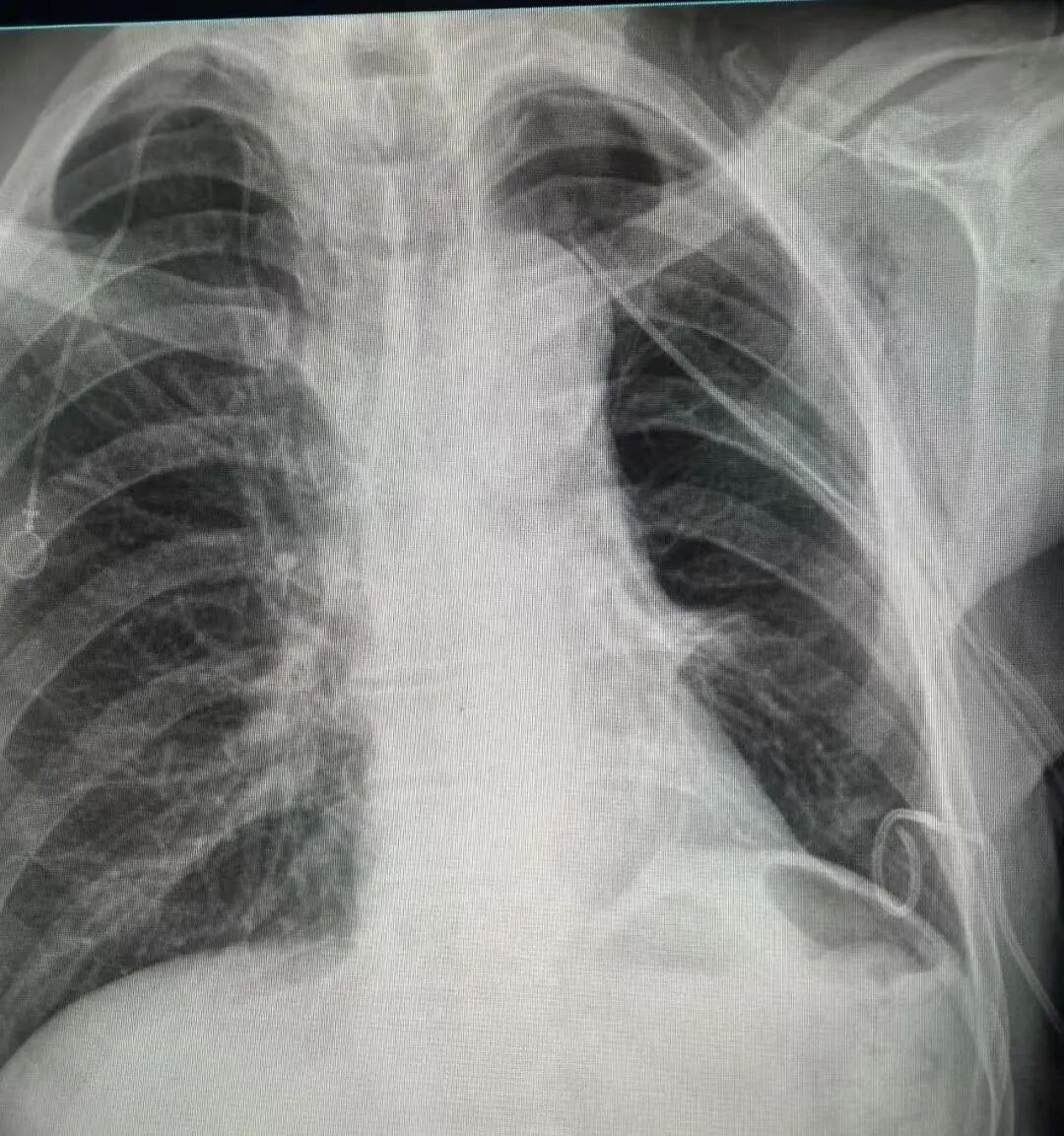
术后胸片

术后病理:切除组织未见残留癌细胞,达到根治效果
这场手术,为何难度堪称胸外科顶峰?
王叔的康复,不是偶然,而是现代肺癌综合治疗理念与微创技术共同作用的结果。这个病例里,藏着三个支撑这场高难度手术成功的核心关键词,读懂它们,就能明白这场手术背后的艰辛与不易:
新辅助治疗让“不可切”变成“可切”
为生命留机会
打破“查出癌症就开刀”的固有认知,对于局部晚期肺癌患者,“先治疗、后手术”的新辅助治疗,就像为手术“铺路”。免疫联合化疗的方案,客观缓解率高,能有效缩小肿瘤、解除粘连,让一部分原本被判定“无法手术”的患者,重新获得根治的机会。
袖式切除不止于“根治”
更要守护生活质量
随着医学的进步,外科医生的追求,早已从“切得彻底”转变为“切得精准、保得更多”。支气管袖式切除的核心优势,就是在保证根治效果的前提下,最大限度保留健康肺组织——大量临床研究证实,袖式切除的长期生存率不低于全肺切除,但患者术后的心肺功能、生活质量,却能得到质的提升。
单孔微创以最小创伤
换最快康复
单孔胸腔镜手术,将“微创”理念发挥到了极致。相比传统开胸手术,它的创伤更小、疼痛更轻,配合加速康复外科理念,能大幅缩短患者的引流管拔除时间、住院时间,让患者在更少的痛苦中,快速恢复身体,更好地应对后续的康复之路。
给病友的心里话
王叔是不幸的,人到中年,遭遇癌症的突然突袭,一度陷入“手术无望”的绝境;但他又是幸运的,赶上了肺癌精准治疗、微创治疗的好时代,遇到了敢于挑战“禁区”的医疗团队,最终战胜了病魔。
从最初被判定“手术难度极大”,到新辅助治疗创造机会,再到单孔微创完成高难度袖式重建,这场抗癌之战的胜利,不仅是医生精湛技术的体现,更是肺癌综合治疗理念的胜利——它告诉我们,癌症不是“绝症”,尤其是局部晚期肺癌,只要不放弃,就有可能迎来转机。
如果您或您的家人,也正面临局部晚期肺癌的困境,请不要轻易绝望。随着微创技术的不断突破、围术期治疗手段的日益丰富,曾经的“手术禁区”正在被一个个打破,越来越多的晚期肺癌患者,能通过科学、精准的治疗,重获新生。
医学的温度,从来不是“一刀切”的根治,而是用最小的代价,治愈疾病,守护好每一个生命的尊严与质量。
MDT领衔专家

胡学飞 教授
上海市肺科医院
主任医师
医学博士
博士生导师
上海医务工匠
上海市医师协会医学机器人专委会胸心外科委员
上海市医学会胸外科分会青委兼秘书
上海市医学会肿瘤靶分子专委会青委委员
上海医药行业协会规范化诊治专业委员会委员
上海市医师协会胸外科医师分会纵膈外科工作组副组长
中国医师协会胸外科医师定期考核工作委员会委员
中国临床肿瘤学会微创外科专委会委员
中华医学会结核分会胸外科专委会委员
中国医药教育协会医疗机器人分会常委
中国医药教育协会智能医学专业委员会胸部肿瘤精准与智能诊疗分会常委
欧洲胸外科协会会员(ESTS)
《中华胸心血管外科杂志》青年编委
上海市申康中心岗位能手
上海市青年五四奖章
日喀则人民医院最佳援藏干部
上海市肺科医院优秀医师奖 优秀党员
上海市第三十五届优秀发明选拔赛 优秀发明金奖
主持国自然面上项目1项、省部级课题5项,2项国家科技重大项目子课题负责人;发表论文50余篇,其中SCI论文40余篇;参编专著5部
年主刀手术量2000台,长期致力于局晚肺癌多学科综合治疗
2021大中华胸腔镜菁英赛肺段组上海、华东、全国第一名
MDT门诊
预约方式:通过“上海市肺科医院”公众号“预约挂号”进行预约
时间:每周五上午
地址:上海市杨浦区政民路507号门诊楼
来源:SPH-局部晚期NSCLC-MDT